症例をご確認いただけます|池袋駅西口徒歩5分・豊島区池袋の歯科医院「グランドメゾンデンタルクリニック」
20代
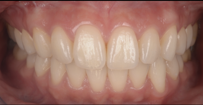
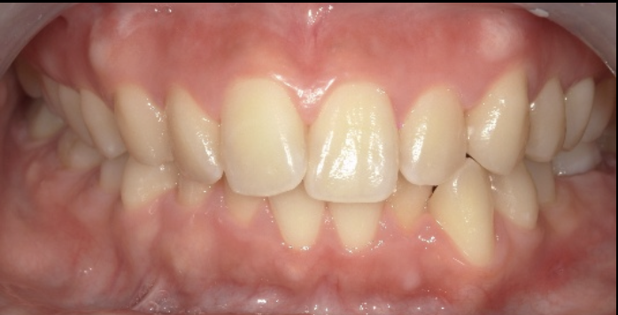
池袋で矯正治療によりEラインが改善した症例|下顎後退と咬み合わせの低下を伴うII級症例
- 担当医
- 生野誠
- 主訴
- 歯並びを治したい
- 期間
- 3年
- 費用
- 90万
- 治療内容
- ワイヤーとマウスピースのコンビネーション矯正
- 治療に伴うリスク
- 後戻り
外傷で変色した前歯を「インナーブリーチ」で改善(池袋)
- 担当医
- 生野誠
- 主訴
- 「ぶつけてから前歯の色が暗くなってきた。被せ物ではなく、できれば歯を削らずに改善したい」
- 期間
- 1週間
- 費用
- 10万
- 治療内容
- 精密根管治療
インナーブリーチ(1回)
歯の内側に薬剤を作用させ、段階的に色調を改善します。
※必要に応じて根管治療の状態確認(既存治療の適否チェック)を行い、適応を慎重に判断します。
- 治療に伴うリスク
- • 変色原因や歯の状態により、改善度合いには個人差があります
• しみる症状、再着色、経年的な色調変化が起こる場合があります
• 適応外の場合は、別の方法(ダイレクトボンディング/ラミネート/セラミック等)をご提案します
抜歯判断の前に—根管治療で残せたケース(池袋)
- 担当医
- 生野誠
- 主訴
- 右下奥歯が抜歯と言われた。
どうしていいか分からず悩んでいた。
- 期間
- 6ヶ月
- 費用
- 20万
- 治療内容
- 精密根管治療
セラミック修復
- 治療に伴うリスク
- 再発
右上犬歯の埋伏と左臼歯のシザーズバイトを「非抜歯矯正+セラミック+クラウンレングスニング」で改善した症例|池袋
- 担当医
- 生野誠
- 主訴
- 犬歯が歯茎の中に埋まっている
左奥歯がずれていて噛めない
笑うと歯茎が気になる
- 期間
- 3年
- 費用
- 200万
- 治療内容
- 非抜歯矯正(ワイヤーとインビザライン)
精密根管治療
セラミック修復
ダイレクトボンディング
クラウンレングスニング
- 治療に伴うリスク
- よくある質問
Q1. 埋伏した犬歯は抜歯になりますか?
状態によりますが、牽引して並べられるケースは多くあります。位置・角度・スペース・周囲歯根への影響を診断して方針を決めます。
Q2. シザーズバイトは矯正で治せますか?
はい、治療可能なことが多いです。ただし、単に歯を動かすだけでなく、奥歯の咬合設計と歯周組織への負担管理が重要です。
Q3. 矯正後にクラウンレングスニングをする理由は?
矯正で歯の位置が整った後に、歯ぐきラインを整えると、左右差の少ない自然な口元に近づき、セラミックの完成度も上がります。
Q4. セラミックは何本から必要ですか?
「どこまで整えたいか」によります。必要最小限で成立する場合もあれば、左右のバランスのために範囲を広げる場合もあります。仮歯で確認しながら決めます。
⸻
池袋で「埋伏犬歯」「シザーズバイト」「審美修復」をまとめて相談したい方へ
グランドメゾンデンタルクリニック(池袋)では、
矯正・歯周外科・審美補綴を一つの治療計画として統合し、
「見た目」だけでなく「噛める」「長持ちする」ゴールを目指します。
気になる方は、まずは現状の診断からご相談ください。
【20代女性】左上の前歯が暗くなって気になる
【根管治療・ホワイトニング】
- 担当医
- 生野 誠
- 主訴
- 左上の前歯が暗くなってきて気になる。
前院で歯の根っこの詰まってて、治療も難しいと言われた。
- 期間
- 2回
- 費用
- 6万円
- 治療内容
- 精密根管治療、インナーブリーチ
- 治療に伴うリスク
- 後戻り
【20代男性】
親知らずを抜きたい
- 担当医
- 生野 誠
- 主訴
- 右下奥の歯茎が痛い、腫れている
近くの歯医者で横に生えているから抜けないと言われた
大学病院に行く時間がない
- 期間
- 1回
- 費用
- 保険
- 治療内容
- 右上下の親知らずの抜歯
- 治療に伴うリスク
- 術後の腫脹、出血
知覚鈍麻
【20代 女性】
歯を白くしたい
- 担当医
- 準備中
- 主訴
- 歯を白くしたい
- 期間
- 1回
- 費用
- 3万
- 治療内容
- ポリリン酸を応用した
オフィスホワイトニング
- 治療に伴うリスク
- 知覚過敏
後戻り
【20代 女性】
銀歯が外れて
歯が沁みる
- 担当医
- 生野 誠
- 主訴
- 銀歯が外れて歯が沁みる
- 期間
- 1回
- 費用
- 4万
- 治療内容
- ダイレクトボンディング
- 治療に伴うリスク
- 材料の劣化
【20代 男性】
前歯が気になる
- 担当医
- 荻原 太郎
- 主訴
- 前歯が出ているのが気になる
虫歯の治療をしたい
- 期間
- 36ヶ月
- 費用
- 120万
- 治療内容
- ワイヤーとインビザラインを併用した抜歯矯正
セラミック治療
クラウンレングスニング
ダイレクトボンディング
- 治療に伴うリスク
- 後戻り
歯根吸収
【20代 女性】
歯の白濁が気になる
- 担当医
- 生野 誠
- 主訴
- 前歯の白濁が気になる 虫歯ですか?
- 期間
- 1回
- 費用
- 4万
- 治療内容
- ダイレクトボンディング(ICON)
- 治療に伴うリスク
- 後戻り