症例をご確認いただけます|池袋駅西口徒歩5分・豊島区池袋の歯科医院「グランドメゾンデンタルクリニック」
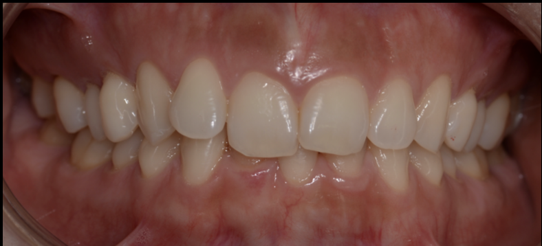
30代
晩期残存した乳歯をブリッジにて治療した症例
- 担当医
- 生野誠
- 主訴
- 残っている乳歯が虫歯になった。
インプラントを考えているが他に治療法はあるか知りたい
- 期間
- 2ヶ月
- 費用
- 46万
- 治療内容
- ジルコニアブリッジ
- 治療に伴うリスク
- ブリッジの脱離
歯の失活
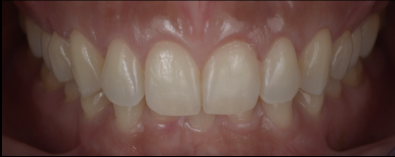
【30代男性】
前歯の変色をインナーブリーチで自然に改善
【ホワイトニング】
- 担当医
- 生野 誠
- 主訴
- 「前歯の色が1本だけ黒く見える」とのことでご来院。
以前に神経を取る治療を行っており、時間の経過とともに内部の変色が進行していました。
- 期間
- 2回
- 費用
- 7万円
- 治療内容
- 既存の封鎖材を除去し、漂白剤を歯髄腔内に注入
歯の外側からラバーダムで封鎖し、薬剤を内部で作用させる
数日ごとに薬剤を交換し、段階的にトーンアップを確認
色調が周囲と自然に馴染んだ段階で、最終封鎖を行い治療完了
- 治療に伴うリスク
- 後戻り
【30代男性】
矯正の前に親知らずを抜きたい
【親知らず】
- 担当医
- 生野 誠
- 主訴
- 矯正前に親知らずを抜きたい
- 期間
- 1回
- 費用
- 保険の範囲内
- 治療内容
- 親知らずの抜歯
- 治療に伴うリスク
- 術後出血、神経鈍麻
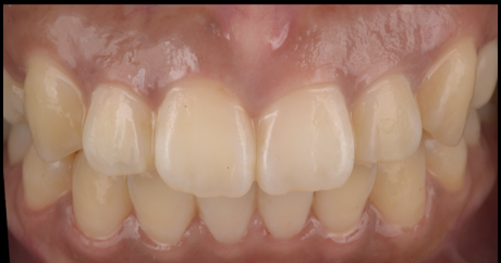
【30代女性】
歯の黄ばみを取りたい【ホワイトニング】
- 担当医
- 生野 誠
- 主訴
- 歯の黄ばみを取りたい
- 期間
- 3回
- 費用
- 3万3千円
- 治療内容
- ポリリン酸ホワイトニング
- 治療に伴うリスク
- 後戻り
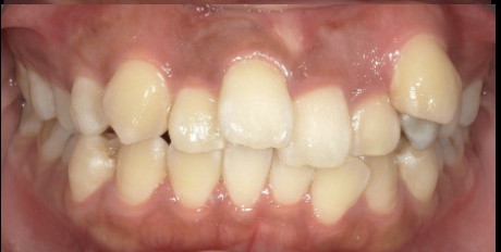
【20代 女性】
歯並びを治したい
- 担当医
- 生野 誠
- 主訴
- 前歯がガタガタで、口が閉じにくい。時々肩こりと頭痛がある
- 期間
- 3年
- 費用
- 80万
- 治療内容
- ワイヤーとアライナーのコンビネーション矯正
- 治療に伴うリスク
- 歯根吸収
後戻り
【30代男性】
歯茎の下りが気になる
【結合組織移植術】
- 担当医
- 生野 誠
- 主訴
- 歯茎の下りが気になる
歯が沁みる
歯ブラシが痛い
- 期間
- 1回
- 費用
- 12万円
- 治療内容
- ルートカバー(結合組織移植術)
- 治療に伴うリスク
- 外科的侵襲
【30代女性】
笑うと歯茎が出てしまう
【歯列矯正、クラウンレングスニング】
- 担当医
- 生野 誠
- 主訴
- 笑うと歯茎が出てしまう
- 期間
- 12ヶ月
- 費用
- 100万円
- 治療内容
- インビザラインによる歯列矯正
クラウンレングスニング(執刀医:小川雄大)
- 治療に伴うリスク
- 後戻り
歯根吸収
【30代 女性】
他院で入れた
セラミックが
虫歯になっている
- 担当医
- 生野 誠
- 主訴
- 他院で入れたセラミックが虫歯になっている
噛むと染みる
- 期間
- 2回
- 費用
- 10万
- 治療内容
- セラミック治療
- 治療に伴うリスク
- セラミックの破折
【30代女性】
他院でセラミックを入れたが痛みが強く、膿が出ている
【根管治療】
- 担当医
- 生野 誠
- 主訴
- 他院でセラミックを入れたが痛みが引かず、膿が出てきた。
- 期間
- 3ヶ月
- 費用
- 25万円
- 治療内容
- 精密根管治療
セラミック修復
- 治療に伴うリスク
- フレアアップ
セラミックの破折
【30代 女性】
歯並びを何とかしたい
- 担当医
- 生野 誠
- 主訴
- 歯並びを何とかしたい
- 期間
- 36ヶ月
- 費用
- 120万
- 治療内容
- インプラントアンカーを応用した抜歯矯正
セラミック修復
ダイレクトボンディング
- 治療に伴うリスク
- 後戻り
歯根吸収
セラミックの破折