【30代男性】
出っ歯の患者様の
セラミック治療
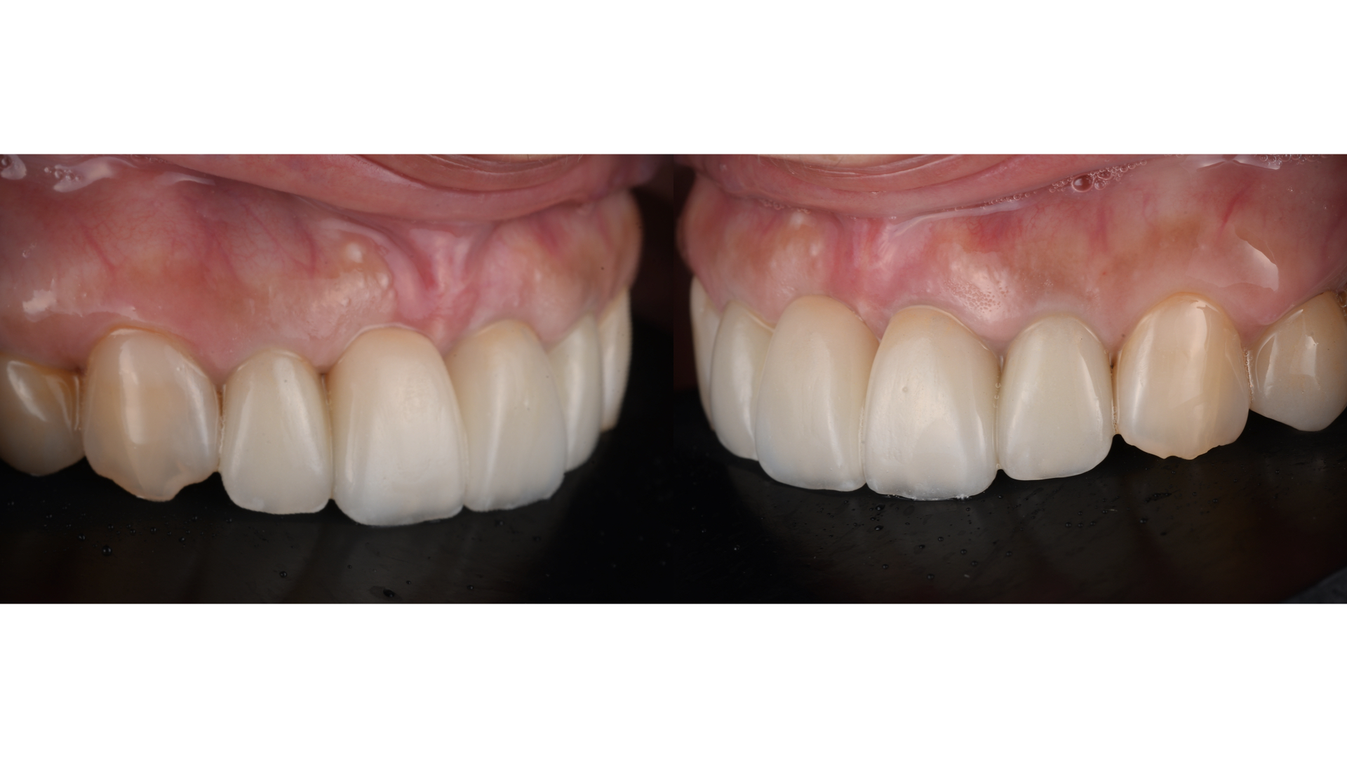
治療で得られるメリット:審美性
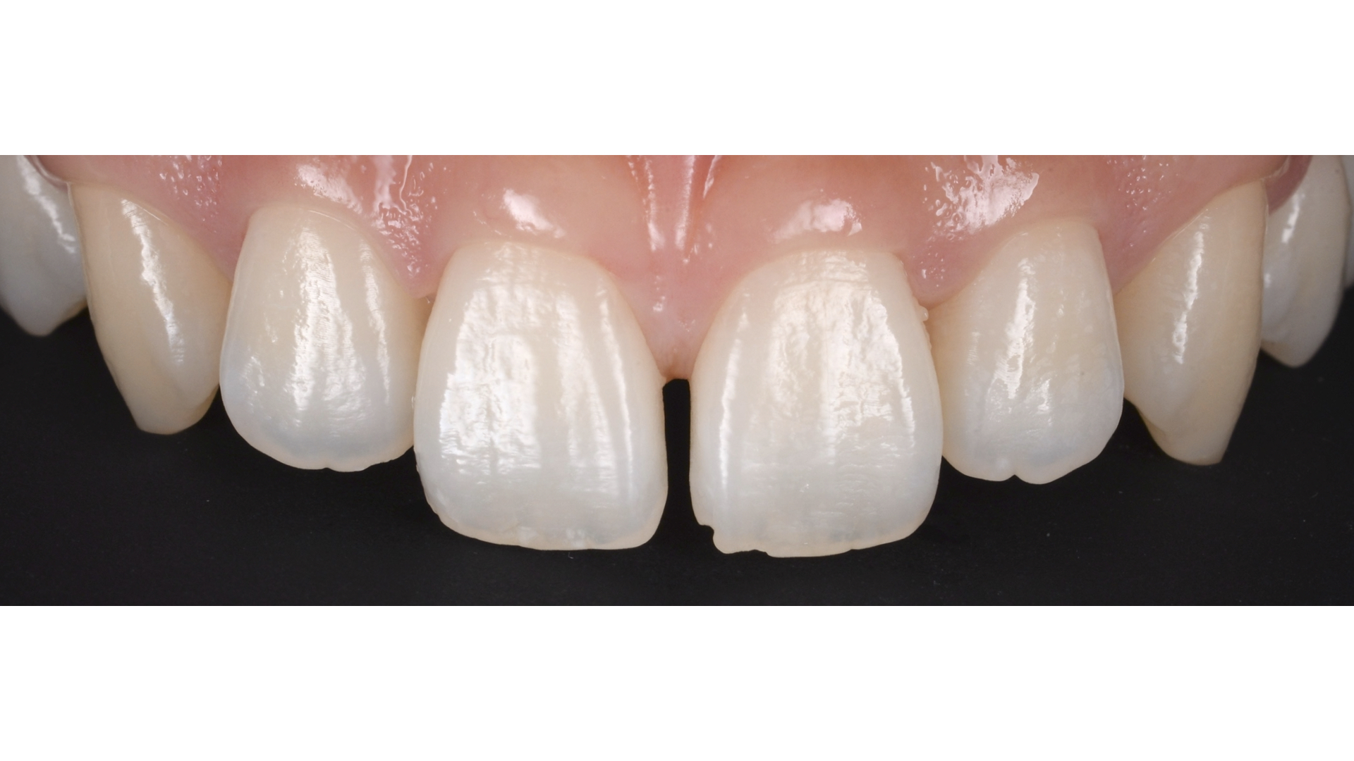
治療前
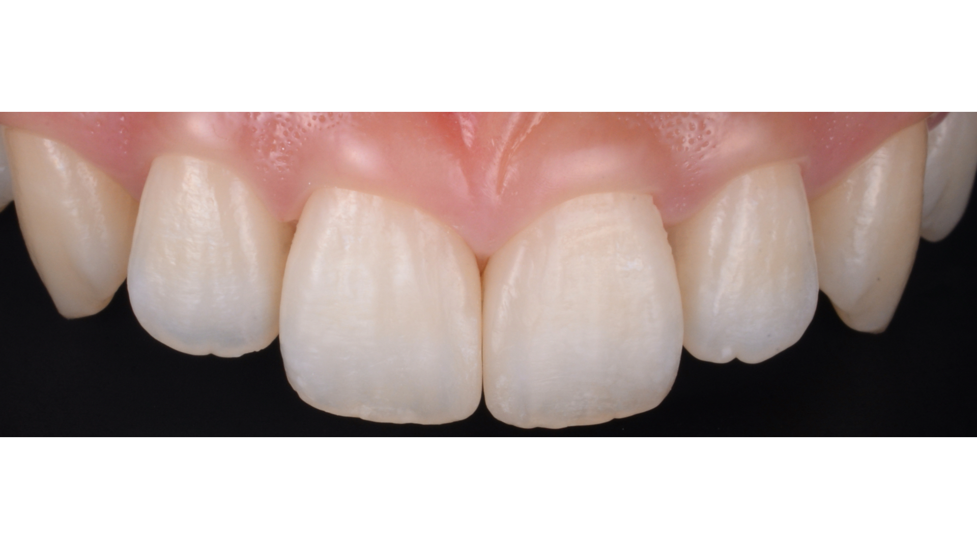
治療後
治療で得られるメリット:審美性
治療前/治療後
歯科技工
| 担当医 | 荻原 太郎 |
|---|---|
| 主訴 | ハの字になっている歯をきれいにしたい |
| 期間 | 4ヶ月 |
| 費用 | 13万円〜/本 |
| 治療内容 | 患者様と相談の結果、前歯2本をセラミック治療(ラミネートベニア)をすることになりました。 |
| 治療に伴うリスク | 知覚過敏 セラミックのチップ |




















