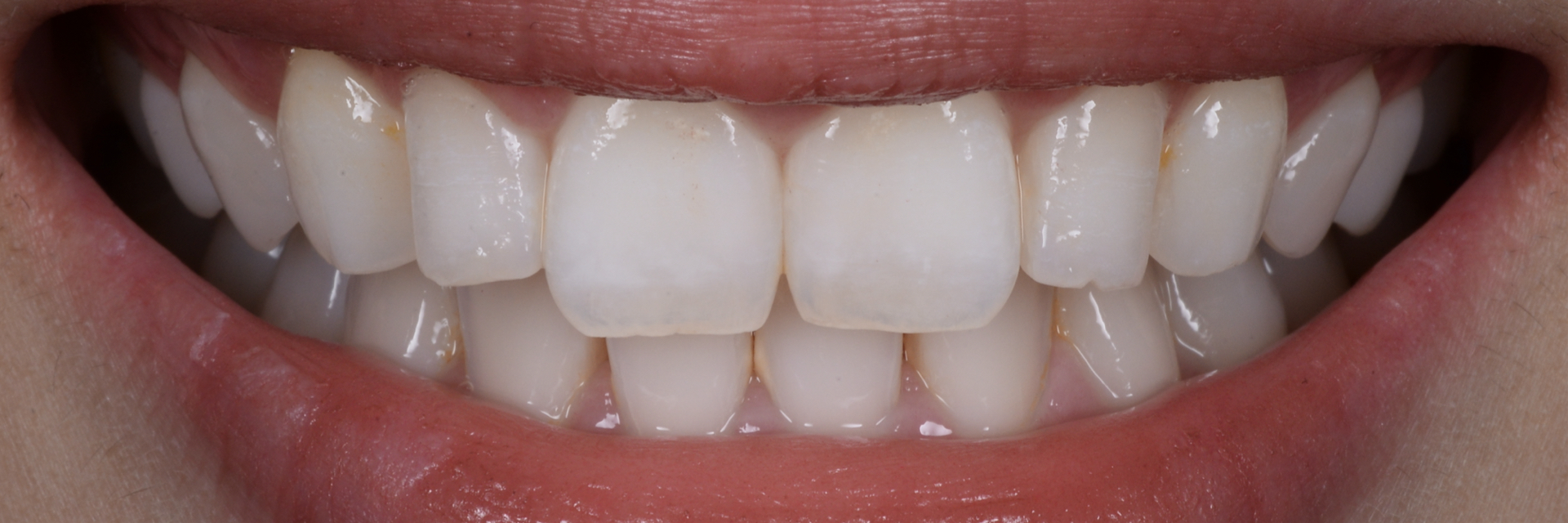
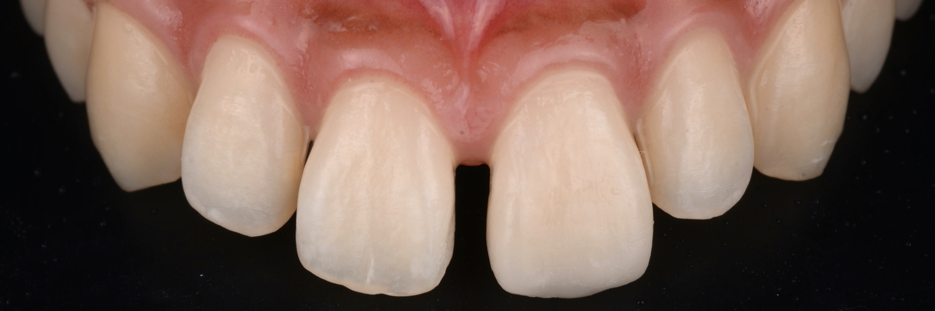
【30代 男性】
虫歯があると言われた
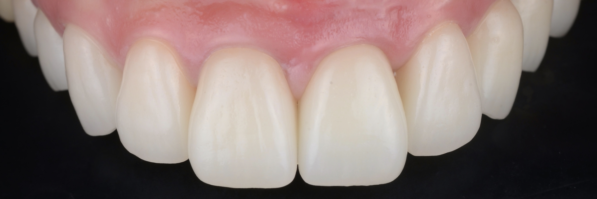
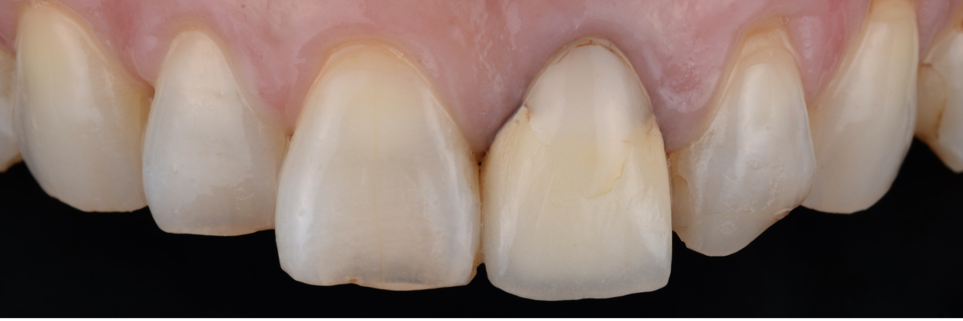
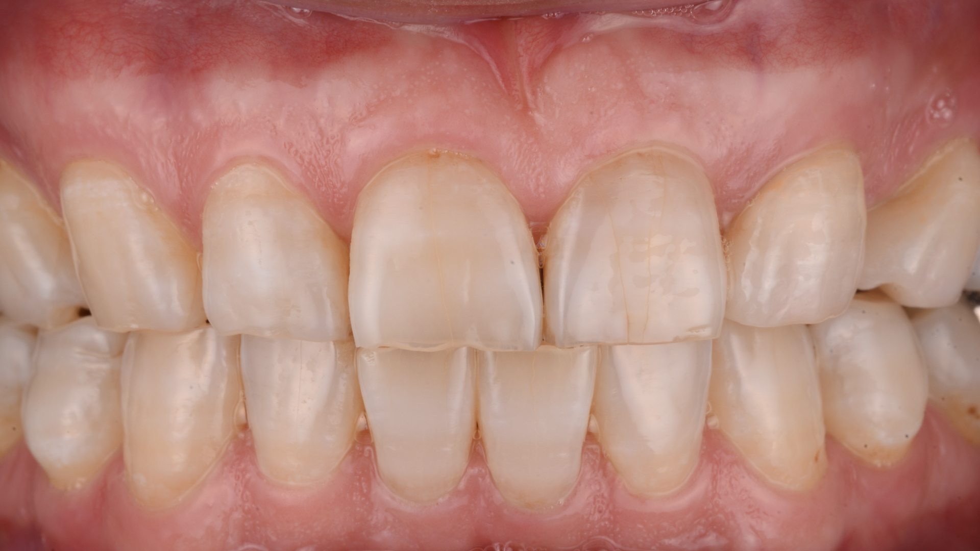
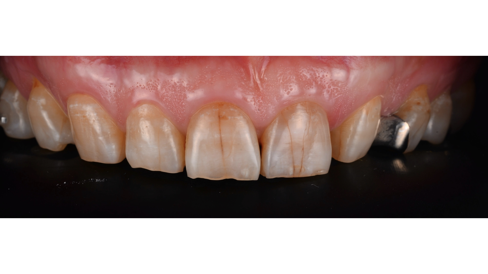
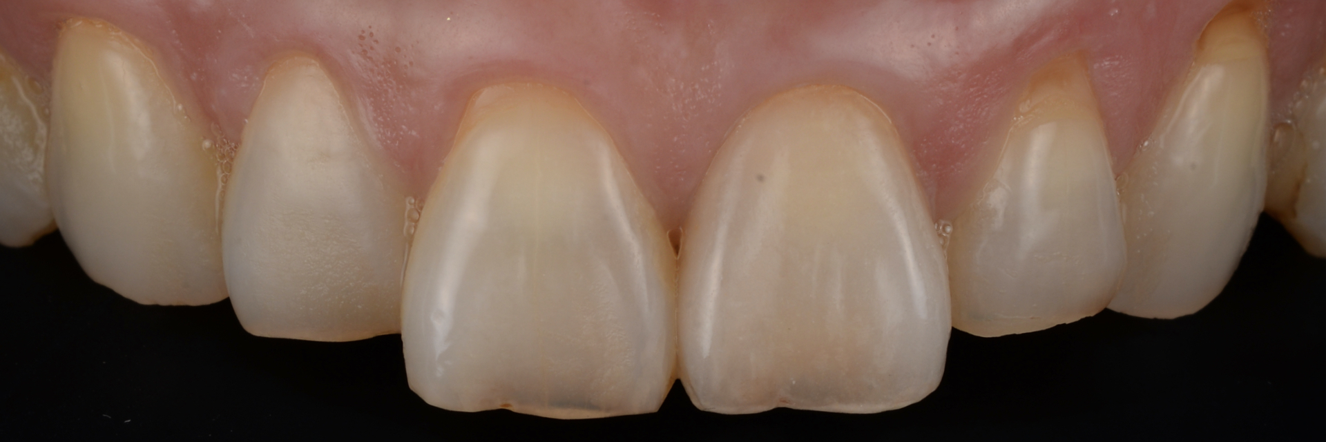
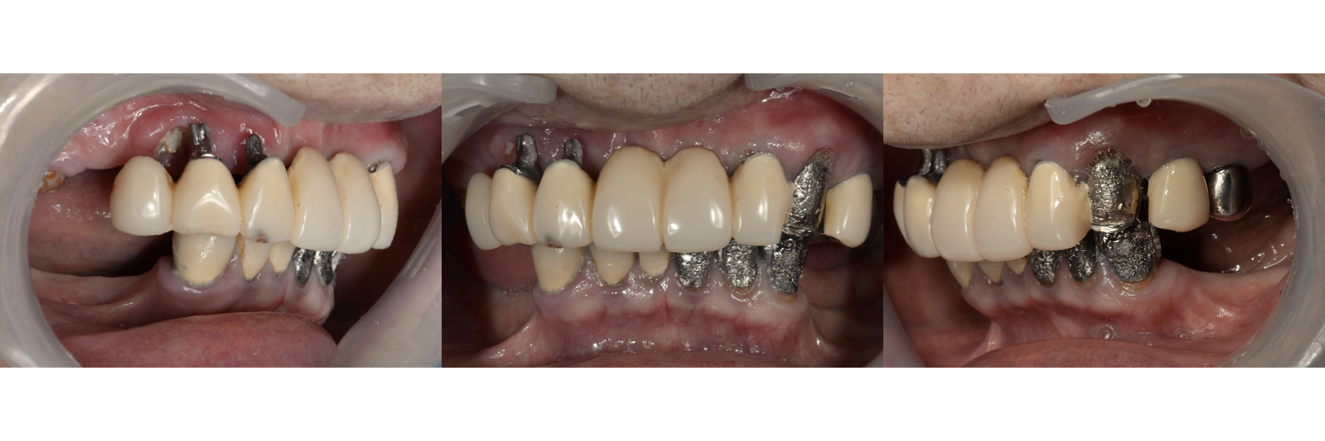
治療前
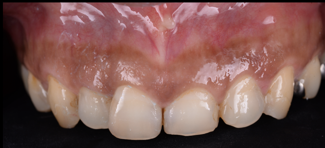
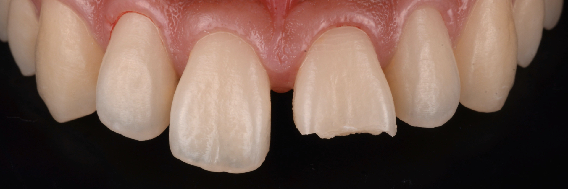
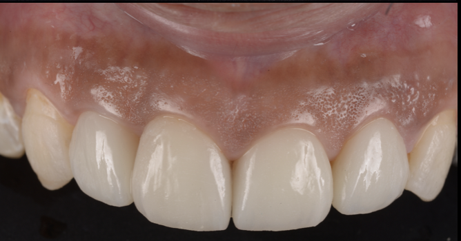
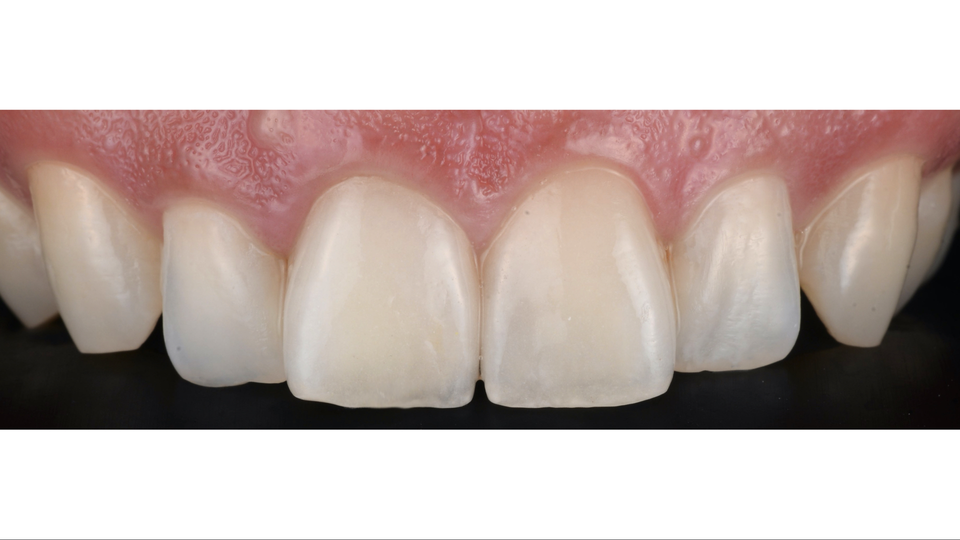
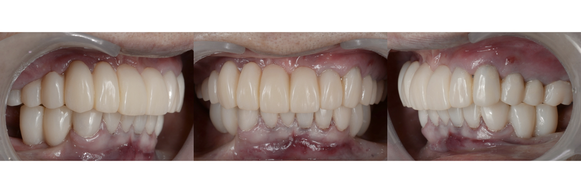
治療後
| 担当医 | 生野 誠 |
|---|---|
| 主訴 | 虫歯の治療をしたい 費用を抑えたいが白くしたい |
| 期間 | 1回 |
| 費用 | 4万 |
| 治療内容 | ダイレクトボンディング |
| 治療に伴うリスク | コンポジットレジンの劣化 |





















治療で得られるメリット :う蝕の制御