症例をご確認いただけます|池袋駅西口徒歩5分・豊島区池袋の歯科医院「グランドメゾンデンタルクリニック」
ダイレクトボンディング
残根に対して抜歯即時インプラント埋入を行った症例
- 担当医
- 生野誠
- 主訴
- 残すのは難しいと言われてそのままにしていた。
- 期間
- 6ヶ月(3ヶ月で仮歯装着)
- 費用
- 60万
- 治療内容
- インプラント治療
- 治療に伴うリスク
- 腫れ、痛み、出血、感染、インプラント周囲炎、骨結合が得られない可能性、歯肉退縮、補綴物の破損・脱離など
空隙歯列・スリーインサイザルを咬合から整え、審美修復で改善した症例
- 担当医
- 生野誠
- 主訴
- 噛み合わせが安定しない
顎が痛い
- 期間
- 3年
- 費用
- 150万
- 治療内容
- 部分矯正
ダイレクトボンディング
ラミネートベニア
接着性ブリッジ
テーブルトップベニア
- 治療に伴うリスク
- 後戻り
セラミックの破折
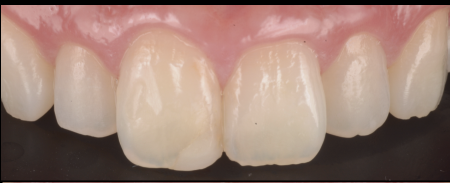
前歯の破折と虫歯をダイレクトボンディングで修復した症例|池袋で精密な審美修復
- 担当医
- 生野誠
- 主訴
- 前歯の欠け、虫歯を治したい
- 期間
- 1回(90分)
- 費用
- 22万(4前歯)
- 治療内容
- ダイレクトボンディング
- 治療に伴うリスク
- レジンのチップ
劣化
池袋で前歯のすき間をダイレクトボンディングで改善した症例|正中離開を削らずに自然に修復
- 担当医
- 生野誠
- 主訴
- 前歯のすき間が気になる
見た目を自然に整えたい
- 期間
- 1回
※症例により回数は異なります
- 費用
- 11万
- 治療内容
- 前歯2本に対するダイレクトボンディング
- 治療に伴うリスク
・経年的な着色が起こることがあります
・強い衝撃や咬み合わせによって欠けることがあります
・すき間の大きさや咬み合わせによっては、矯正治療や他の補綴治療が適する場合があります
・定期的なメインテナンスが必要です
歯周病に“ペリオオルソ(歯周×矯正)”と歯周組織再生療法を組み合わせ、安定化を図った症例(池袋)
- 担当医
- 生野誠
- 主訴
- 後戻りが気になる
下の歯が心配
- 期間
- 2年
- 費用
- 180万
- 治療内容
- 矯正治療
歯周組織再生療法
セラミック修復
- 治療に伴うリスク
- • 再生療法・矯正には適応があり、すべての方に同じ結果を保証するものではありません。
• 治療後も定期的なメンテナンスが必要です。
右上犬歯の埋伏と左臼歯のシザーズバイトを「非抜歯矯正+セラミック+クラウンレングスニング」で改善した症例|池袋
- 担当医
- 生野誠
- 主訴
- 犬歯が歯茎の中に埋まっている
左奥歯がずれていて噛めない
笑うと歯茎が気になる
- 期間
- 3年
- 費用
- 200万
- 治療内容
- 非抜歯矯正(ワイヤーとインビザライン)
精密根管治療
セラミック修復
ダイレクトボンディング
クラウンレングスニング
- 治療に伴うリスク
- よくある質問
Q1. 埋伏した犬歯は抜歯になりますか?
状態によりますが、牽引して並べられるケースは多くあります。位置・角度・スペース・周囲歯根への影響を診断して方針を決めます。
Q2. シザーズバイトは矯正で治せますか?
はい、治療可能なことが多いです。ただし、単に歯を動かすだけでなく、奥歯の咬合設計と歯周組織への負担管理が重要です。
Q3. 矯正後にクラウンレングスニングをする理由は?
矯正で歯の位置が整った後に、歯ぐきラインを整えると、左右差の少ない自然な口元に近づき、セラミックの完成度も上がります。
Q4. セラミックは何本から必要ですか?
「どこまで整えたいか」によります。必要最小限で成立する場合もあれば、左右のバランスのために範囲を広げる場合もあります。仮歯で確認しながら決めます。
⸻
池袋で「埋伏犬歯」「シザーズバイト」「審美修復」をまとめて相談したい方へ
グランドメゾンデンタルクリニック(池袋)では、
矯正・歯周外科・審美補綴を一つの治療計画として統合し、
「見た目」だけでなく「噛める」「長持ちする」ゴールを目指します。
気になる方は、まずは現状の診断からご相談ください。
【20代 女性】
銀歯が外れて
歯が沁みる
- 担当医
- 生野 誠
- 主訴
- 銀歯が外れて歯が沁みる
- 期間
- 1回
- 費用
- 4万
- 治療内容
- ダイレクトボンディング
- 治療に伴うリスク
- 材料の劣化
【20代 男性】
前歯が気になる
- 担当医
- 荻原 太郎
- 主訴
- 前歯が出ているのが気になる
虫歯の治療をしたい
- 期間
- 36ヶ月
- 費用
- 120万
- 治療内容
- ワイヤーとインビザラインを併用した抜歯矯正
セラミック治療
クラウンレングスニング
ダイレクトボンディング
- 治療に伴うリスク
- 後戻り
歯根吸収
【20代 女性】
歯の白濁が気になる
- 担当医
- 生野 誠
- 主訴
- 前歯の白濁が気になる 虫歯ですか?
- 期間
- 1回
- 費用
- 4万
- 治療内容
- ダイレクトボンディング(ICON)
- 治療に伴うリスク
- 後戻り
【20代 女性】
前歯の詰め物が
気になる
- 担当医
- 生野 誠
- 主訴
- 前歯の詰め物が気になる
- 期間
- 1回
- 費用
- 4万
- 治療内容
- ダイレクトボンディング
- 治療に伴うリスク
- コンポジットレジンの劣化