症例をご確認いただけます|池袋駅西口徒歩5分・豊島区池袋の歯科医院「グランドメゾンデンタルクリニック」
40代
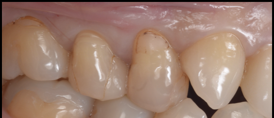
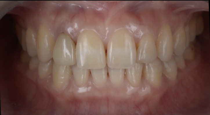
空隙歯列・スリーインサイザルを咬合から整え、審美修復で改善した症例
- 担当医
- 生野誠
- 主訴
- 噛み合わせが安定しない
顎が痛い
- 期間
- 3年
- 費用
- 150万
- 治療内容
- 部分矯正
ダイレクトボンディング
ラミネートベニア
接着性ブリッジ
テーブルトップベニア
- 治療に伴うリスク
- 後戻り
セラミックの破折
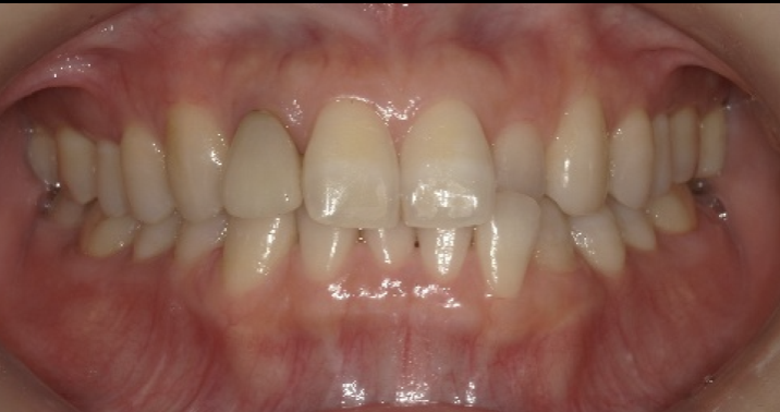
前歯の破折と虫歯をダイレクトボンディングで修復した症例|池袋で精密な審美修復
- 担当医
- 生野誠
- 主訴
- 前歯の欠け、虫歯を治したい
- 期間
- 1回(90分)
- 費用
- 22万(4前歯)
- 治療内容
- ダイレクトボンディング
- 治療に伴うリスク
- レジンのチップ
劣化
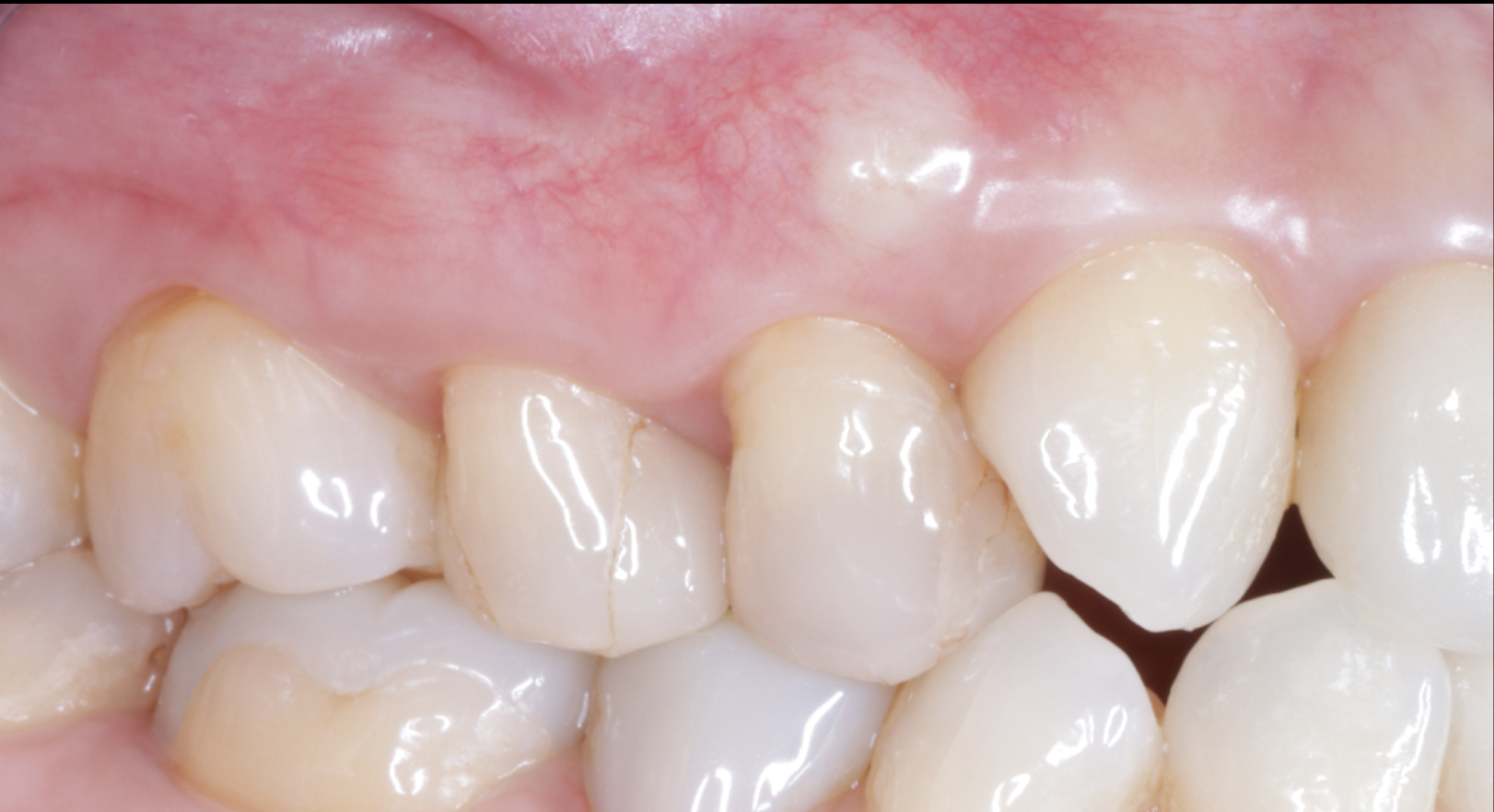
池袋で前歯のすき間をダイレクトボンディングで改善した症例|正中離開を削らずに自然に修復
- 担当医
- 生野誠
- 主訴
- 前歯のすき間が気になる
見た目を自然に整えたい
- 期間
- 1回
※症例により回数は異なります
- 費用
- 11万
- 治療内容
- 前歯2本に対するダイレクトボンディング
- 治療に伴うリスク
・経年的な着色が起こることがあります
・強い衝撃や咬み合わせによって欠けることがあります
・すき間の大きさや咬み合わせによっては、矯正治療や他の補綴治療が適する場合があります
・定期的なメインテナンスが必要です
歯周病に“ペリオオルソ(歯周×矯正)”と歯周組織再生療法を組み合わせ、安定化を図った症例(池袋)
- 担当医
- 生野誠
- 主訴
- 後戻りが気になる
下の歯が心配
- 期間
- 2年
- 費用
- 180万
- 治療内容
- 矯正治療
歯周組織再生療法
セラミック修復
- 治療に伴うリスク
- • 再生療法・矯正には適応があり、すべての方に同じ結果を保証するものではありません。
• 治療後も定期的なメンテナンスが必要です。
虫歯と歯周病で崩れた前歯・奥歯を、セラミック+リッジオーギュメンテーション+咬合再構成で回復した症例(池袋)
- 担当医
- 生野誠
- 主訴
- 虫歯と歯周病で歯がボロボロ。見た目と噛みにくさが気になる。
- 期間
- 1年
- 費用
- 160万
- 治療内容
- 1)歯周・虫歯のコントロール
補綴治療の前に、歯ぐきの炎症や感染源(虫歯・不良補綴など)を整理し、治療の土台を作りました。
2)右上3欠損:リッジオーギュメンテーション+ブリッジ
欠損部は、ブリッジによる回復を計画。審美性と清掃性、そして補綴の形態を整えるために、リッジオーギュメンテーション(顎堤増大)で歯ぐき・土台のボリュームを整えた上で、ブリッジで回復しました。
3)その他:クラウン/ベニアで審美と形態を回復
虫歯・歯質の状態に応じて、セラミックのクラウン・ベニアを使い分け、歯の形と色調、左右差を整えました。
4)咬合再構成(全体の噛み合わせを整える)
「1本ずつ綺麗にする」だけでは、噛み合わせの偏りや過大な負担が残ることがあります。
本症例では全体のバランスを見ながら咬合再構成を行い、見た目と機能の両立、長期安定を目指しました。
- 治療に伴うリスク
- • セラミック治療は、噛み合わせや歯ぎしりの影響を受けます。必要に応じてナイトガード等の併用が望ましい場合があります。
• 歯周病は再燃リスクがあるため、メンテナンス(定期管理)が治療結果の安定に重要です。
• リッジオーギュメンテーションは外科処置のため、腫れ・痛み・治癒期間などの説明が必要です(個人差あり)。
前歯1本だけのセラミック治療(シングルセントラル)|色・形・透明感を周囲に馴染ませたケース
- 担当医
- 生野誠
- 主訴
- 前歯が折れてとりあえずの仮歯を入れたままにしていた。
折れる可能性があるため部分矯正で引っ張り出さないといけないと言われた。
可能であればそのままやりたい
- 期間
- • 期間:2週間〜1ヶ月
• 回数:4回(カウンセリング含む)
- 費用
- セラミッククラウン(前歯1本):165000円(税込)
ファイバーコア:22000円(税込)
仮歯:16500円(税込)
- 治療内容
- 1. カウンセリング/写真・色合わせ(シェード)
2. 既存補綥物の除去・形成(必要最小限の切削を意識)
3. 精密印象(または口腔内スキャン)
4. プロビジョナル(仮歯)で形とラインを微調整
5. 技工士と情報共有(写真・シェード・マッピング)
6. セラミック装着(接着操作)→咬合・発音・清掃性を確認
使用材料
• オールセラミッククラウン(ジルコニア+レイヤリング )
- 治療に伴うリスク
- • セラミックは強い衝撃で欠ける/割れることがあります
• 歯ぎしり・食いしばりが強い場合、マウスピース(ナイトガード)を推奨します
• 失活歯(神経のない歯)の場合、時間とともに色調変化が出ることがあります
• 歯肉の状態や清掃状況により、歯ぐきのラインが変化することがあります
【40代男性】
前歯が折れた【全額治療】
- 担当医
- 生野 誠
- 主訴
- 前歯が折れた
- 期間
- 24ヶ月
- 費用
- 440万円
- 治療内容
- 咬合再構成
歯周組織再生療法
精密根管治療
セラミック治療
インプラント治療
- 治療に伴うリスク
- セラミックの脱離
歯周病の再発
【40代女性】
顔が腫れて痛い、他院で残せないと言われた
【根管治療】
- 担当医
- 生野 誠
- 主訴
- 顔が腫れていたい
他院で残せないと言われた
- 期間
- 6ヶ月
- 費用
- 35万円
- 治療内容
- 精密根管治療、歯根端切除術、セラミック修復
- 治療に伴うリスク
- フレアーアップ
【40代 男性】
前歯の形が
変になってきた
- 担当医
- 生野 誠
- 主訴
- 前歯の形が変わってきた気がする
- 期間
- 3ヶ月
- 費用
- 48万
- 治療内容
- セラミックラミネートベニア
バイトアップ
- 治療に伴うリスク
- セラミックの脱離
【40代 女性】
詰め物が劣化した
- 担当医
- 生野 誠
- 主訴
- 詰め物が劣化した
虫歯になってないか不安
- 期間
- 1回
- 費用
- 7万
- 治療内容
- ダイレクトボンディング
- 治療に伴うリスク
- コンポジットレジンの劣化