症例をご確認いただけます|池袋駅西口徒歩5分・豊島区池袋の歯科医院「グランドメゾンデンタルクリニック」
歯を白くしたい
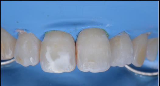
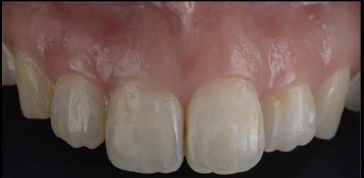
外傷で変色した前歯を「インナーブリーチ」で改善(池袋)
- 担当医
- 生野誠
- 主訴
- 「ぶつけてから前歯の色が暗くなってきた。被せ物ではなく、できれば歯を削らずに改善したい」
- 期間
- 1週間
- 費用
- 10万
- 治療内容
- 精密根管治療
インナーブリーチ(1回)
歯の内側に薬剤を作用させ、段階的に色調を改善します。
※必要に応じて根管治療の状態確認(既存治療の適否チェック)を行い、適応を慎重に判断します。
- 治療に伴うリスク
- • 変色原因や歯の状態により、改善度合いには個人差があります
• しみる症状、再着色、経年的な色調変化が起こる場合があります
• 適応外の場合は、別の方法(ダイレクトボンディング/ラミネート/セラミック等)をご提案します
【30代女性】
歯の黄ばみを取りたい【ホワイトニング】
- 担当医
- 生野 誠
- 主訴
- 歯の黄ばみを取りたい
- 期間
- 3回
- 費用
- 3万3千円
- 治療内容
- ポリリン酸ホワイトニング
- 治療に伴うリスク
- 後戻り
【20代 女性】
歯を白くしたい
- 担当医
- 準備中
- 主訴
- 歯を白くしたい
- 期間
- 1回
- 費用
- 3万
- 治療内容
- ポリリン酸を応用した
オフィスホワイトニング
- 治療に伴うリスク
- 知覚過敏
後戻り
【20代 女性】
歯の白濁が気になる
- 担当医
- 生野 誠
- 主訴
- 前歯の白濁が気になる 虫歯ですか?
- 期間
- 1回
- 費用
- 4万
- 治療内容
- ダイレクトボンディング(ICON)
- 治療に伴うリスク
- 後戻り
【20代 女性】
前歯の凸凹を矯正治療によって改善した症例
- 担当医
- 生野 誠
- 主訴
- 歯並びを治したい
前歯のガタガタを綺麗に並べてほしい
噛み合わせを良くしたい
- 期間
- 18ヶ月
- 費用
- 80万+調整料
- 治療内容
- 非抜歯によるマウスピース矯正
(インビザライン)
ホワイトニング
- 治療に伴うリスク
- 歯根吸収、後戻り、
ブラックトライアングル
【30代 男性】
虫歯があると言われた
- 担当医
- 生野 誠
- 主訴
- 虫歯の治療をしたい
費用を抑えたいが白くしたい
- 期間
- 1回
- 費用
- 4万
- 治療内容
- ダイレクトボンディング
- 治療に伴うリスク
- コンポジットレジンの劣化
【30代 男性】
セラミック治療、
ダイレクト
ボンディング
- 担当医
- 荻原 太郎
- 主訴
- 前歯を綺麗にしたい
- 期間
- 4ヶ月(仮歯期間含め)
- 費用
- 16万〜/本
- 治療内容
- 矯正は希望されませんでしたので、
現状の歯のポジションの中で、
自然な形で修復しました
すでに被せられているところは、
クラウン。そのほかはラミネートベニアとダイレクトボンディングです
- 治療に伴うリスク
- 破折
知覚過敏
【20代】前歯の虫歯治療、ダイレクトボンディング
- 担当医
- 荻原 太郎
- 主訴
- 前歯三箇所の虫歯治療を希望
- 期間
- 1-3回(シェードテイク、充填、研磨)
- 費用
- 3.6〜5万円/箇所
- 治療内容
- コンポシットレジンによる審美虫歯治療
- 治療に伴うリスク
- 変色
【40代】
セラミック治療、
ダイレクト
ボンディング
- 担当医
- 荻原 太郎
- 主訴
- 前歯を綺麗にしたい
虫歯を治したい
- 期間
- 2ヶ月
- 費用
- ダイレクトボンディング
3.6〜5万円/箇所、
セラミック治療前歯
16〜21万円(一本)
- 治療内容
- ダイレクトボンディングとセラミック治療によりナチュラルな仕上がりとした
- 治療に伴うリスク
- 知覚過敏
セラミックのチップ
【30代 男性】
綺麗な歯を入れたい
- 担当医
- 荻原 太郎
- 主訴
- 過去に入れた保険の被せ物を、本物の歯のようなセラミックを入れたいということで来院
- 期間
- 3ヶ月
- 費用
- 13万円〜20万円/箇所(セラミック)
- 治療内容
- オフィスホワイトニングを併用
隣の歯の欠けているところはダイレクトボンディングによって修復
被せ物はジルコニアフレームにポーセレンを盛り付けたタイプの被せ物を装着
- 治療に伴うリスク
- 知覚過敏、セラミックのチップ