[30代女性]ガミースマイルに対してクラウンレングスニングを行なった症例[歯周形成外科]
矯正後のリカバーとしてガミースマイルの改善を行なったケースで、骨格的に骨、歯茎に共に厚みがあり歯が埋もれていた。口元のボリューム感も気になっていた。リカバーということもあり、患者様の心情的に確実に仕上げていきたい旨があるため今回はクランレングスニング2回法を選択した。1回目で上顎の余剰な骨の形成を行い、骨が安定したところで粘膜のみ理想的な形に整えた。
治療前
治療後
術前はナチュラルスマイルにて歯茎に露出を認める。術後は口唇の緊張もなくなり自然な仕上がりとなった。
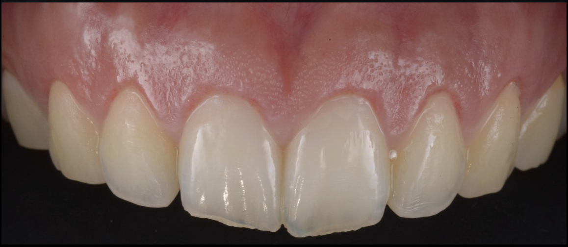
治療前(口腔内)
治療後(口腔内)
術前は骨、歯茎共に隆々としており、ボリューム感があった。また、歯自体のプロポーションも標準に比べ長径が短く、卵形の顔貌とも調和していなかった。術後は、1回目で確認した本来の患者様の歯の形を参考に露出量を調整した。
| 担当医 | 生野誠 |
|---|---|
| 主訴 | 矯正を行なったが、笑った時の歯茎の露出がまだ気になる クラウンレングスニングを調べてこの病院にきた |
| 期間 | 6ヶ月 |
| 費用 | 28万 |
| 治療内容 | クラウンレングスニング2回法(ツーステージ)とは 段階を分けて処置する方法です。代表的には、 ①まずフラップ下で骨を適正な位置、形態に整える → ②治癒・安定を確認してから、必要ならフラップを起こさず歯肉のみ調整する という流れになります(ケースにより順番は変わります)。 メリット • 歯ぐきの位置・ラインが安定してから最終治療に入れるため、審美性と長期安定性を両立しやすい • 前歯や左右差の調整など、繊細な設計に向く 注意点(デメリット) • 期間と通院回数が増えることがある • ただし「長持ち」や「後戻り対策」を重視する場合は有利 |
| 治療に伴うリスク | 後戻り |




















