【20代 女性】
前歯部の審美治療
(ダイレクト
ボンディング、
ホワイトニング)
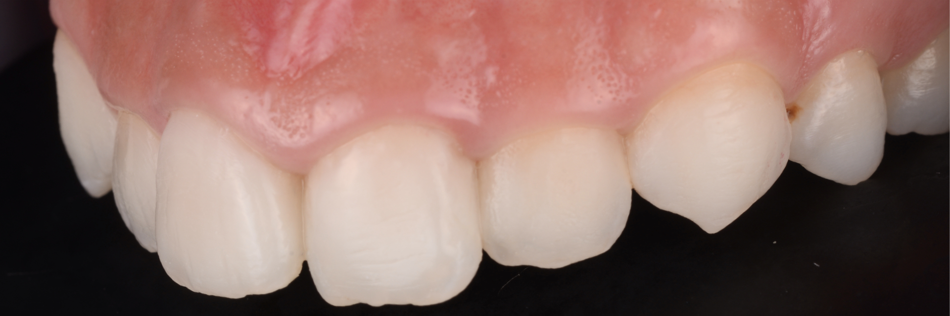
治療前
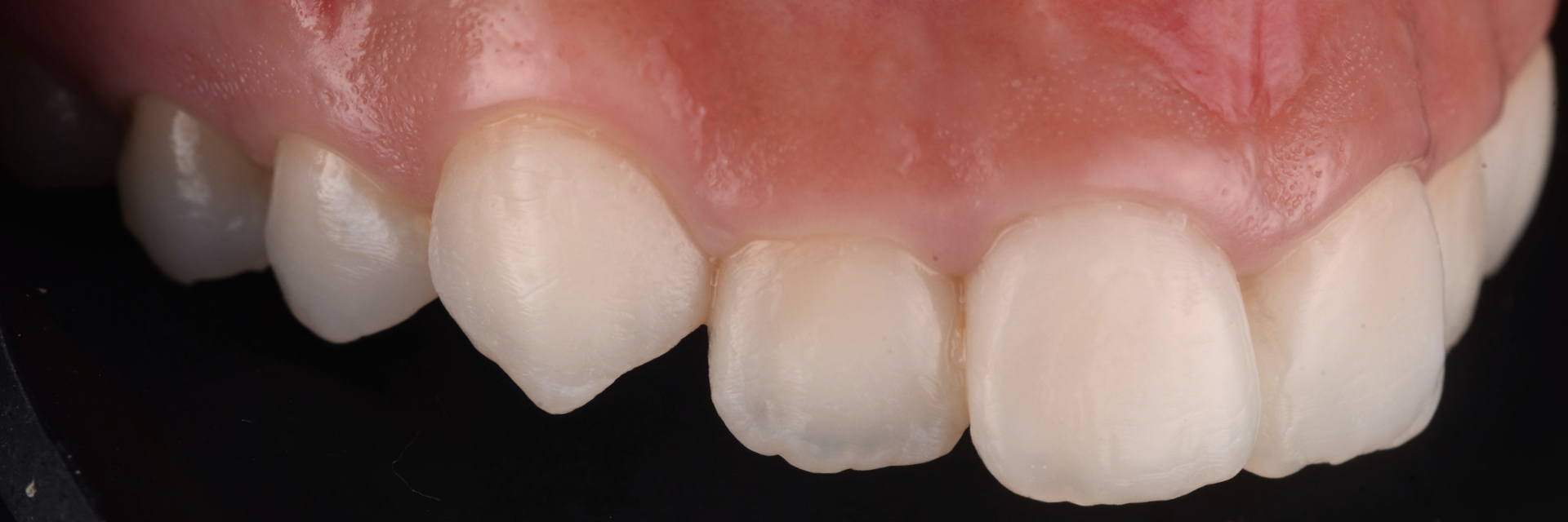
治療後
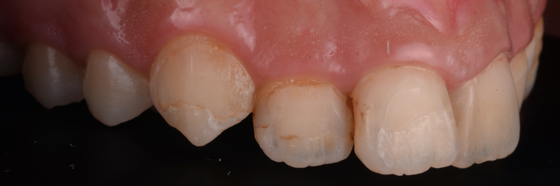
治療前
治療後
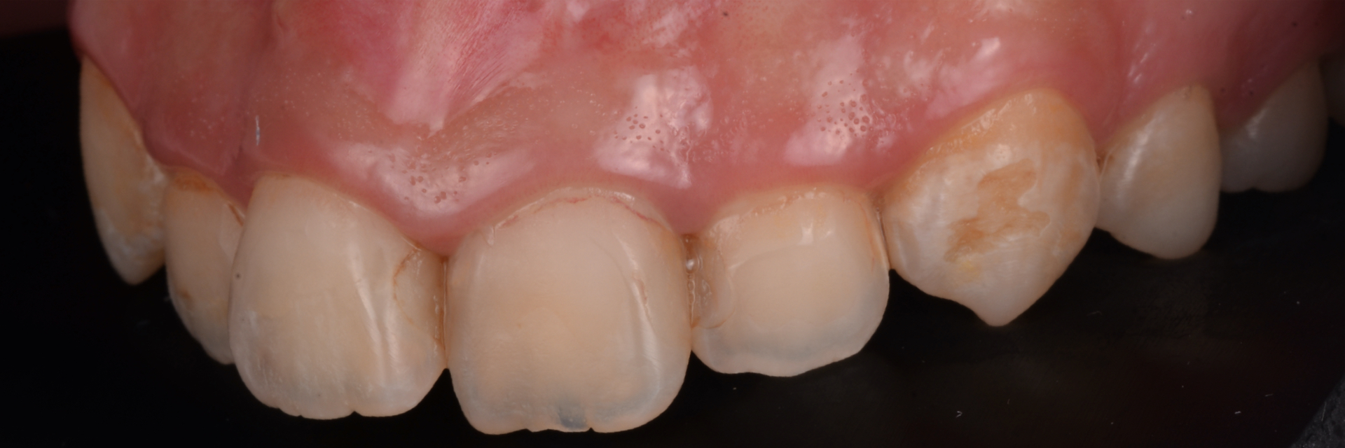
治療前
治療後
治療で得られるメリット:審美性、機能性、快適性、虫歯治療が併用
| 担当医 | 準備中 |
|---|---|
| 主訴 | 前歯の審美障害 |
| 期間 | 3ヶ月 |
| 費用 | 36,000円〜50,000円(箇所) |
| 治療内容 | まず神経の壊死した真ん中二本の歯を根管治療。インターナルブリーチ(歯の中のホワイトニング)、全体的にオフィスホワイトニングを行いました その後前歯6本ダイレクトレストレーションで対応しました |
| 治療に伴うリスク | 知覚過敏 変色 |












