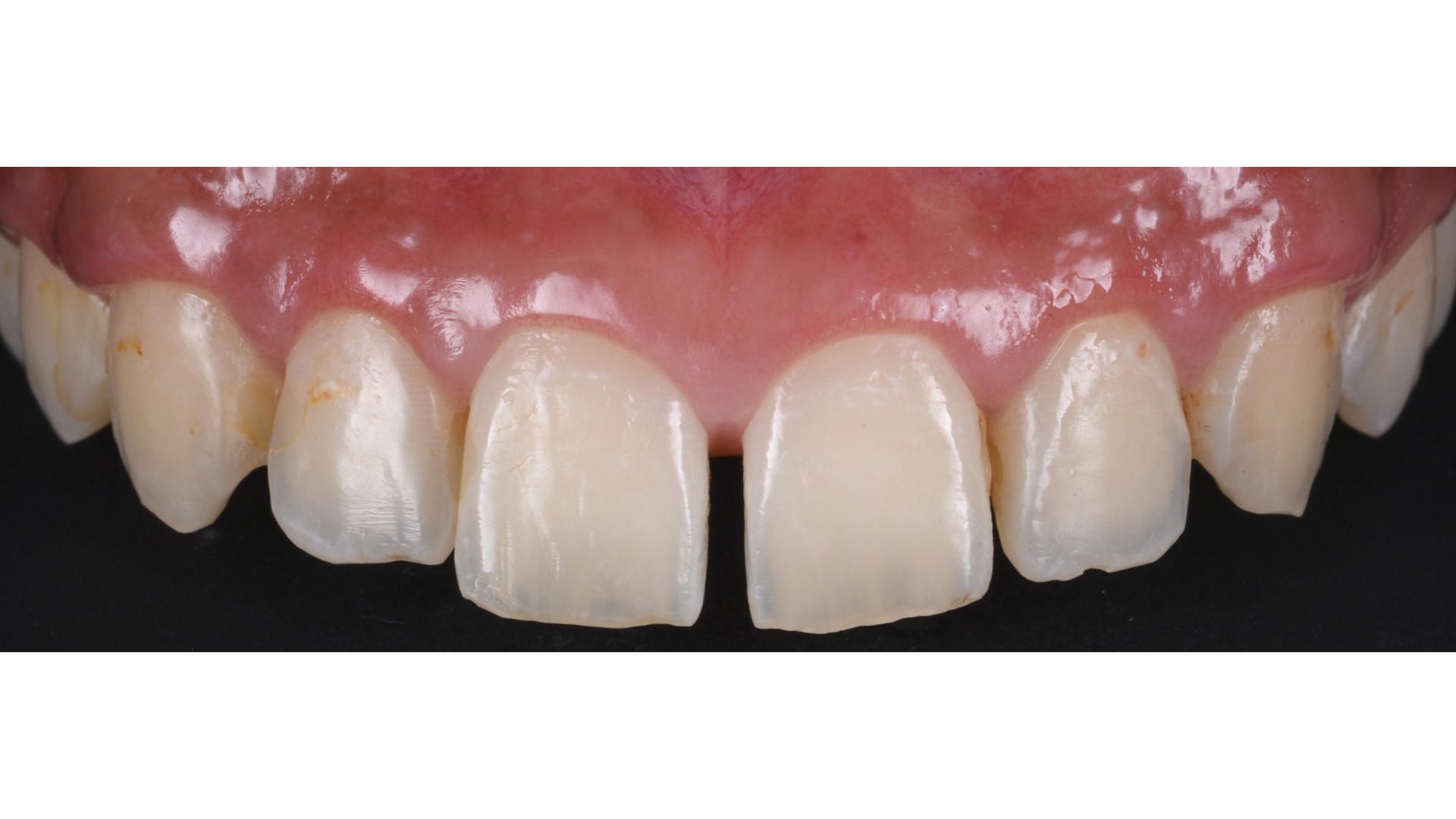
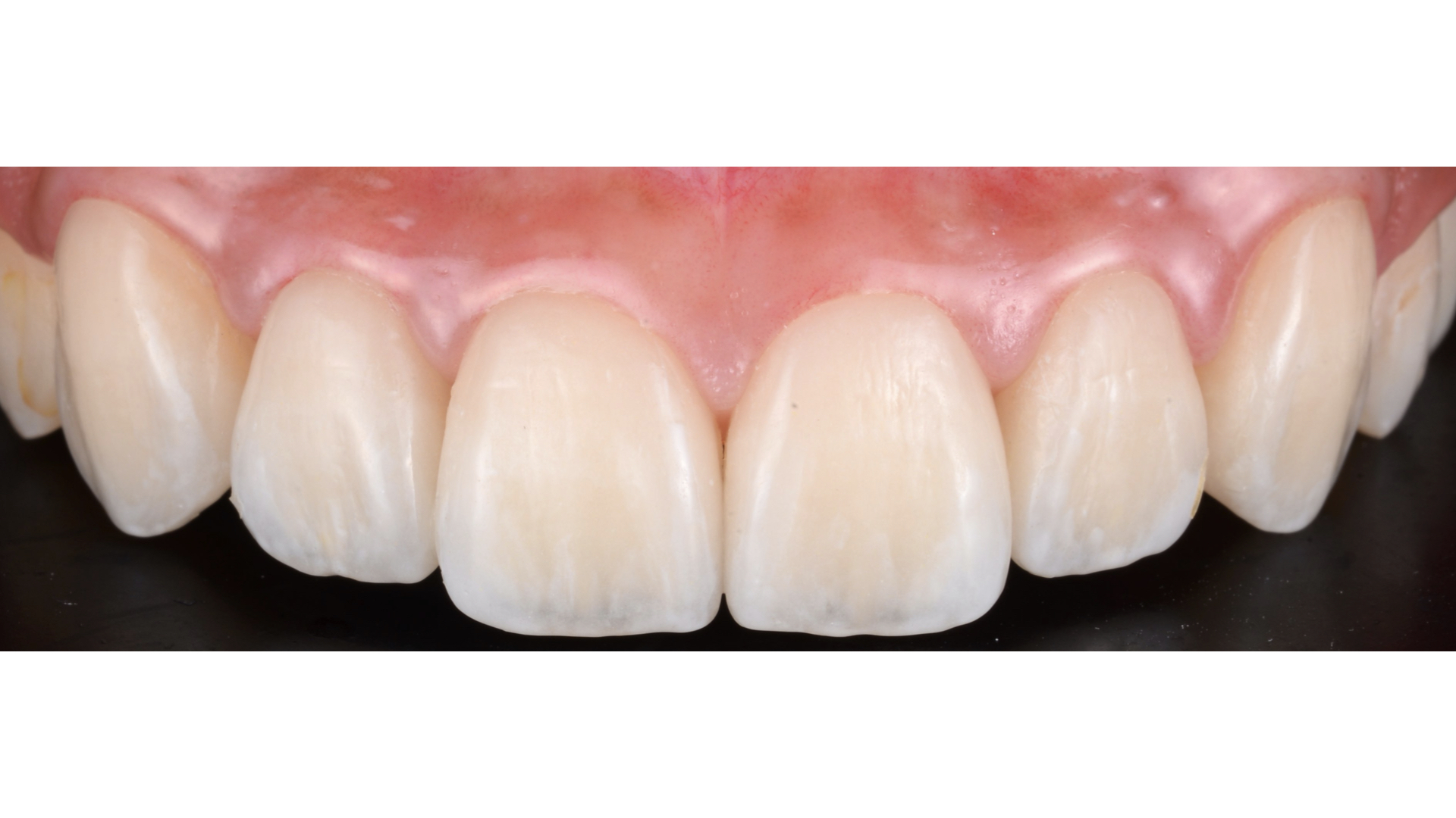
【50代 男性】
前歯部の審美障害を
ナチュラルに
治した症例
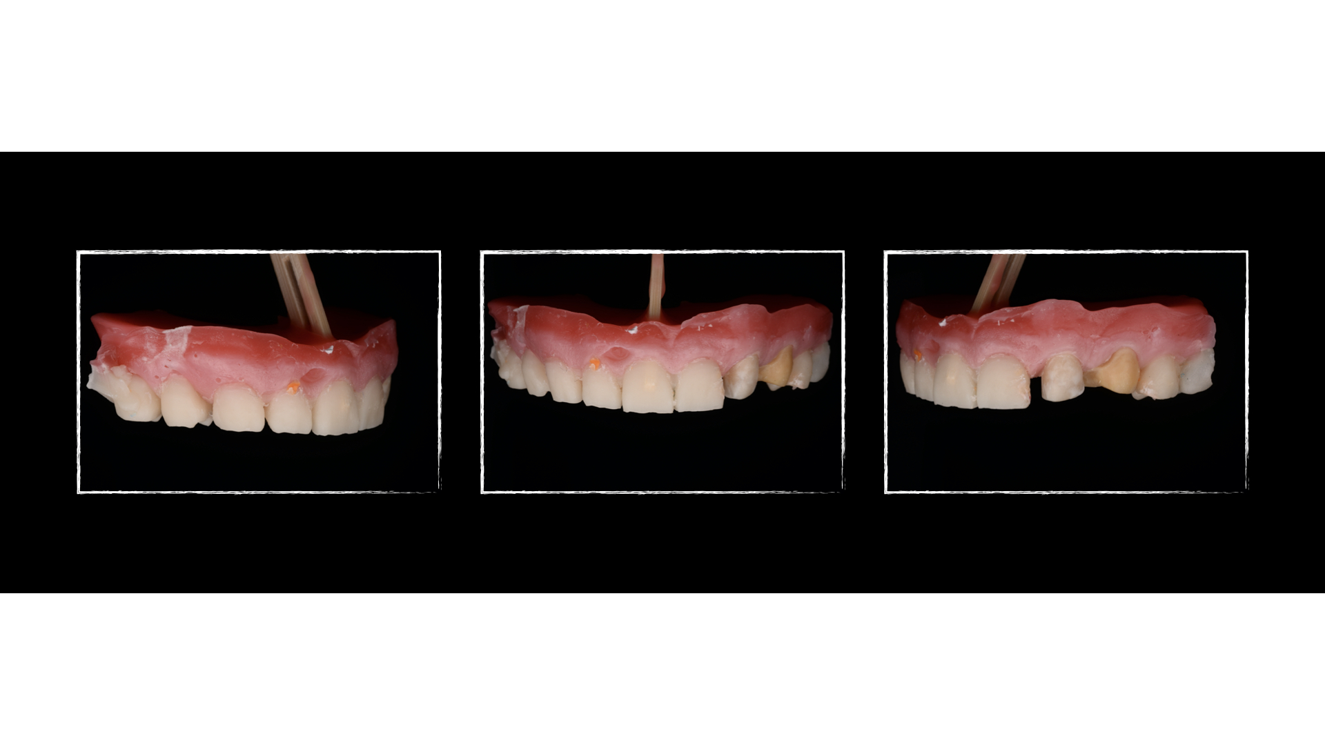
治療前
治療後
治療で得られるメリット:審美性、虫歯治療も併用できる
| 担当医 | 荻原 太郎 |
|---|---|
| 主訴 | 左上犬歯が元々骨の中に埋まっておりすきっ歯になっている また銀盤も気になる 矯正は考えていない、現状の中で可能な限り綺麗にしたい |
| 期間 | 2ヶ月 |
| 費用 | 13万円〜20万円/箇所(セラミック) |
| 治療内容 | ラミネートベニヤにより最小限の切削量で審美的改善をはかった 結果、日本トップテクニシャンとのタイアップにより患者さんが望む結果を得ることがでいた |
| 治療に伴うリスク | セラミックのチップ、知覚過敏 |




















