【60代男性】
ラミネートベニヤ下顎
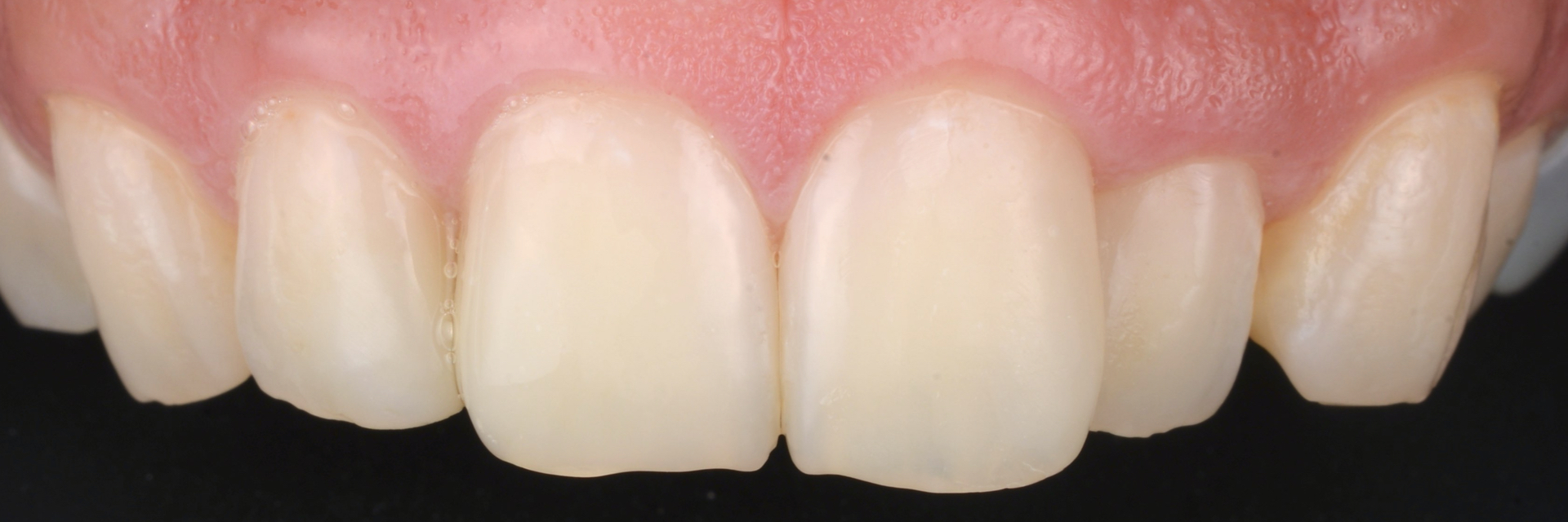
治療前
治療後
治療で得られるメリット:美しいスマイル
| 担当医 | 荻原 太郎 |
|---|---|
| 主訴 | 歯を白くしたい |
| 期間 | 3ヶ月 |
| 費用 | 12万〜 |
| 治療内容 | ラミネートベニヤ |
| 治療に伴うリスク | 知覚過敏、セラミック破折 |




















