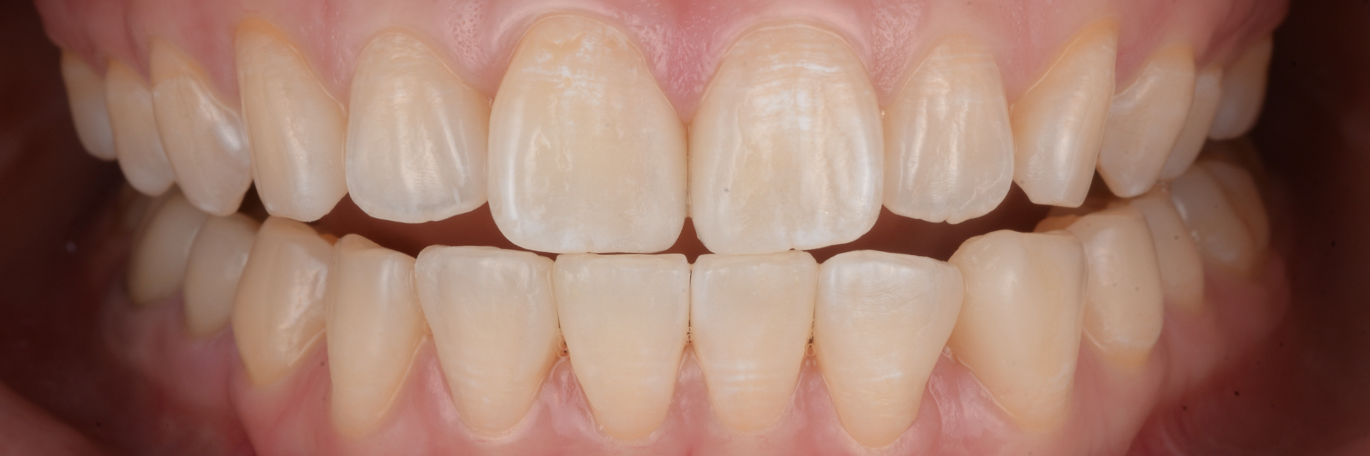
【80代女性】
被せ物がグラグラで
噛めない
治療前
治療後
| 担当医 | 荻原 太郎 |
|---|---|
| 主訴 | 被せ物がグラグラで噛めない 見た目と噛み合わせをどうにかなおしたい |
| 期間 | 2日 |
| 費用 | 1万円〜/本 |
| 治療内容 | 上下に入っている被せ物を外し、プロビジョナルレストレーションを装着。 治療回数ほぼ1日で応急的に噛み合わせと見た目を獲得。 ただし、後日根管治療等の治療は必要。 |
| 治療に伴うリスク | 準備中 |




















