症例をご確認いただけます|池袋駅西口徒歩5分・豊島区池袋の歯科医院「グランドメゾンデンタルクリニック」

症例 Cases

【60代女性】
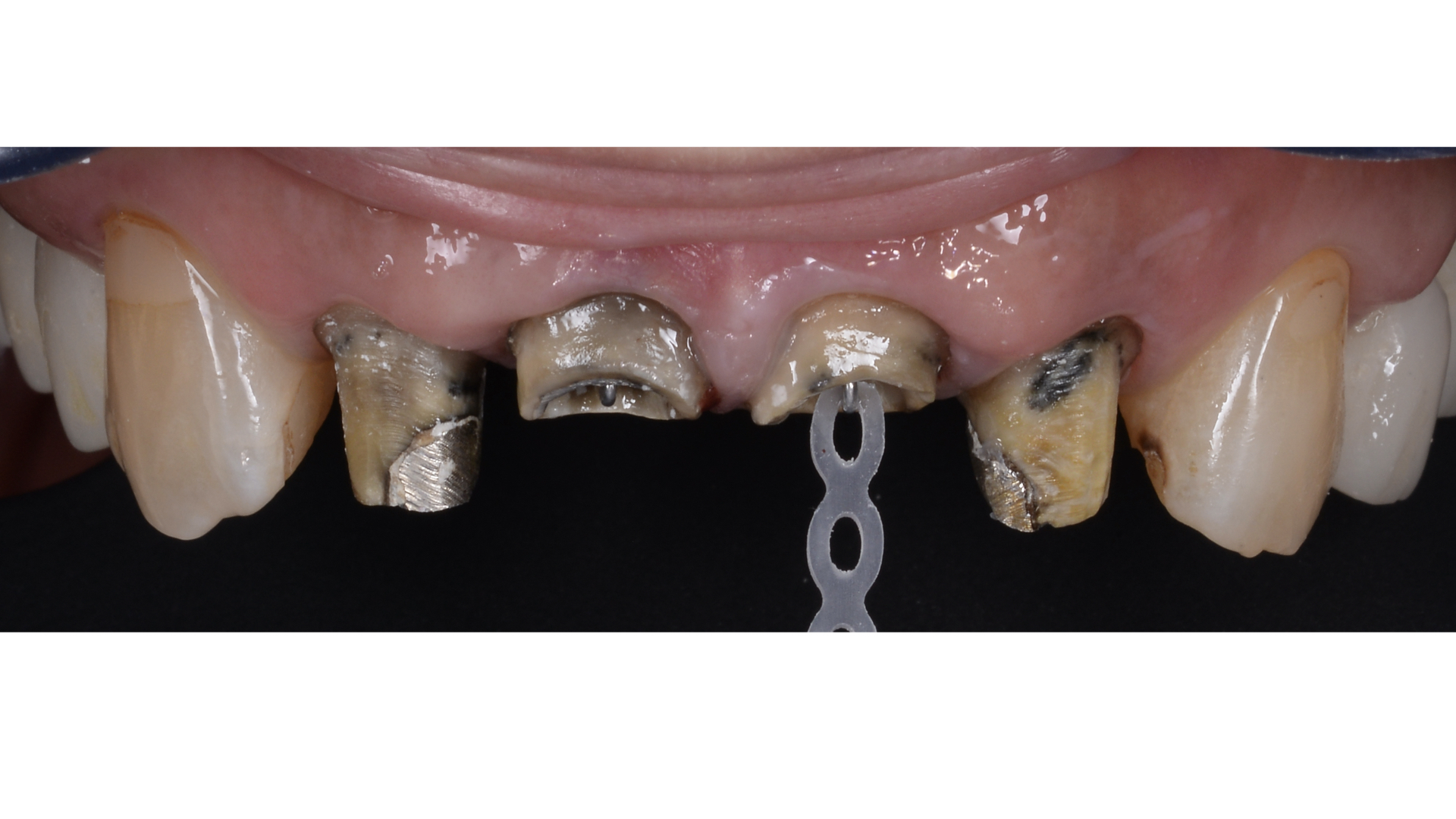
重度の歯周病患者
の審美治療

治療前

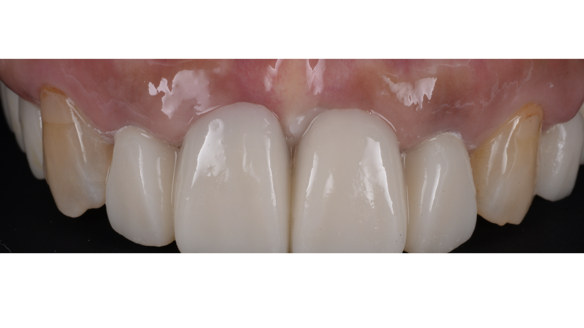
治療後

治療で得られるメリット:審美性、物が噛みちぎれる

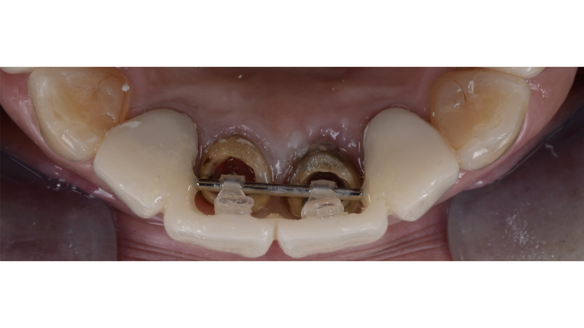
治療中

治療中

治療中

治療中

治療中

治療後

担当医 荻原 太郎
主訴 歯が揺れて物が噛めない
期間 9ヶ月
費用 約90万円
治療内容 エクストルージョンという手法を用いて歯肉のレベルを高くし、抜歯が必要なところは骨レベルが落ちないように歯槽堤保存術(リッジプリザベーション)をおこなっております。
治療に伴うリスク セラミックのチップ

関連症例