症例をご確認いただけます|池袋駅西口徒歩5分・豊島区池袋の歯科医院「グランドメゾンデンタルクリニック」

症例 Cases

【30代男性】
セラミック治療、割れてしまった歯を
引っ張り出し残したケース

治療前

治療後

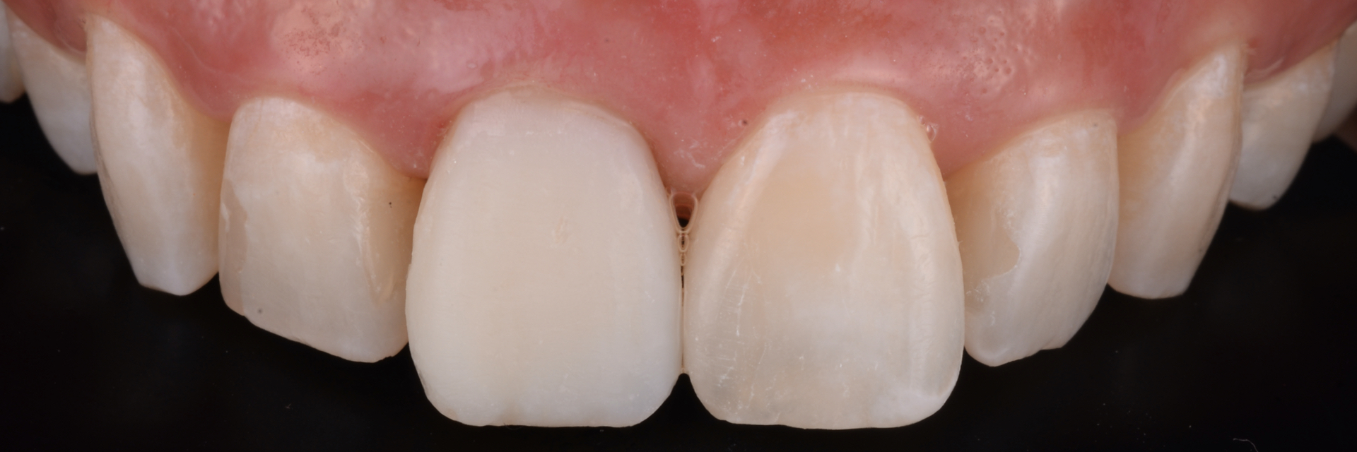
治療前

治療中

治療後

担当医 荻原 太郎
主訴 歯が取れてしまった、綺麗に治したい
期間 6ヶ月
費用 36万程度
(エクストルージョン、クラウンレングスニング、コア、プロビジョナルレストレーション、セラミッククラウン)
治療内容 破折した歯をエクストルージョン(部分矯正)により歯肉上に引き上げ、歯肉整形をした後プロビジョナルレストレーション(暫間的補綴物)を装着。隣在歯のダイイレクトボンディングを併用し補綴治療を完結させたケース。
治療に伴うリスク 脱離

歯根の破折

関連症例

セラミック

虫歯と歯周病で崩れた前歯・奥歯を、セラミック+リッジオーギュメンテーション+咬合再構成で回復した症例(池袋)

担当医
生野誠
主訴
虫歯と歯周病で歯がボロボロ。見た目と噛みにくさが気になる。
期間
1年
費用
160万
治療内容
1)歯周・虫歯のコントロール

補綴治療の前に、歯ぐきの炎症や感染源(虫歯・不良補綴など)を整理し、治療の土台を作りました。

2)右上3欠損:リッジオーギュメンテーション+ブリッジ

欠損部は、ブリッジによる回復を計画。審美性と清掃性、そして補綴の形態を整えるために、リッジオーギュメンテーション(顎堤増大)で歯ぐき・土台のボリュームを整えた上で、ブリッジで回復しました。

3)その他:クラウン/ベニアで審美と形態を回復

虫歯・歯質の状態に応じて、セラミックのクラウン・ベニアを使い分け、歯の形と色調、左右差を整えました。

4)咬合再構成(全体の噛み合わせを整える)

「1本ずつ綺麗にする」だけでは、噛み合わせの偏りや過大な負担が残ることがあります。
本症例では全体のバランスを見ながら咬合再構成を行い、見た目と機能の両立、長期安定を目指しました。
治療に伴うリスク
• セラミック治療は、噛み合わせや歯ぎしりの影響を受けます。必要に応じてナイトガード等の併用が望ましい場合があります。
• 歯周病は再燃リスクがあるため、メンテナンス(定期管理)が治療結果の安定に重要です。
• リッジオーギュメンテーションは外科処置のため、腫れ・痛み・治癒期間などの説明が必要です(個人差あり)。
  • 2026-03-03