症例をご確認いただけます|池袋駅西口徒歩5分・豊島区池袋の歯科医院「グランドメゾンデンタルクリニック」
矯正治療
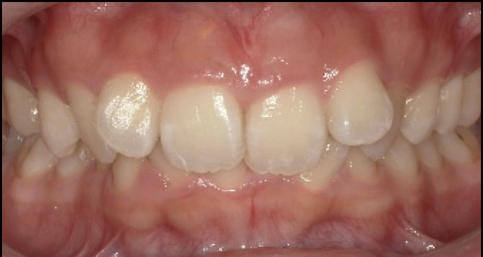
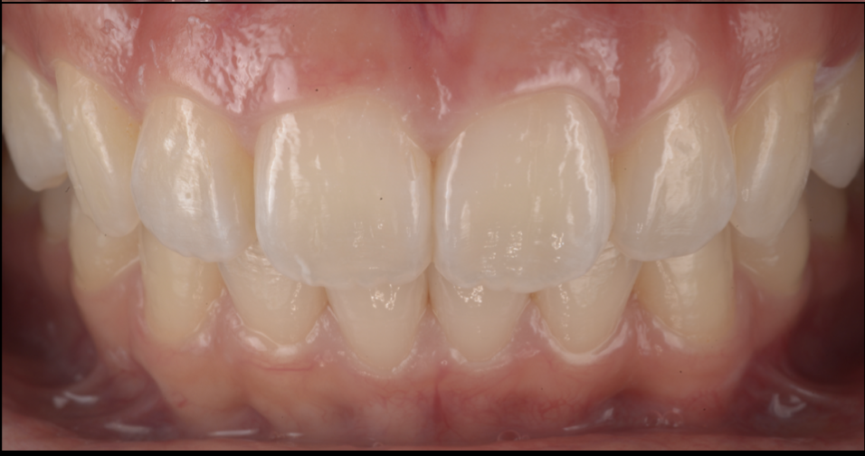
池袋で矯正治療によりEラインが改善した症例|下顎後退と咬み合わせの低下を伴うII級症例
- 担当医
- 生野誠
- 主訴
- 歯並びを治したい
- 期間
- 3年
- 費用
- 90万
- 治療内容
- ワイヤーとマウスピースのコンビネーション矯正
- 治療に伴うリスク
- 後戻り
右上犬歯の埋伏と左臼歯のシザーズバイトを「非抜歯矯正+セラミック+クラウンレングスニング」で改善した症例|池袋
- 担当医
- 生野誠
- 主訴
- 犬歯が歯茎の中に埋まっている
左奥歯がずれていて噛めない
笑うと歯茎が気になる
- 期間
- 3年
- 費用
- 200万
- 治療内容
- 非抜歯矯正(ワイヤーとインビザライン)
精密根管治療
セラミック修復
ダイレクトボンディング
クラウンレングスニング
- 治療に伴うリスク
- よくある質問
Q1. 埋伏した犬歯は抜歯になりますか?
状態によりますが、牽引して並べられるケースは多くあります。位置・角度・スペース・周囲歯根への影響を診断して方針を決めます。
Q2. シザーズバイトは矯正で治せますか?
はい、治療可能なことが多いです。ただし、単に歯を動かすだけでなく、奥歯の咬合設計と歯周組織への負担管理が重要です。
Q3. 矯正後にクラウンレングスニングをする理由は?
矯正で歯の位置が整った後に、歯ぐきラインを整えると、左右差の少ない自然な口元に近づき、セラミックの完成度も上がります。
Q4. セラミックは何本から必要ですか?
「どこまで整えたいか」によります。必要最小限で成立する場合もあれば、左右のバランスのために範囲を広げる場合もあります。仮歯で確認しながら決めます。
⸻
池袋で「埋伏犬歯」「シザーズバイト」「審美修復」をまとめて相談したい方へ
グランドメゾンデンタルクリニック(池袋)では、
矯正・歯周外科・審美補綴を一つの治療計画として統合し、
「見た目」だけでなく「噛める」「長持ちする」ゴールを目指します。
気になる方は、まずは現状の診断からご相談ください。
【50代男性】
インプラント・矯正・精密補綴で噛み合わせを再構築した症例
【全顎治療】
- 担当医
- 生野 誠
- 主訴
- 歯の治療をしたい
前歯がグラグラする
- 期間
- 4年
- 費用
- 450万円
- 治療内容
- 歯周病治療(HbA1c管理)
インプラント治療
精密根管治療
矯正治療
セラミックによる咬合治療
- 治療に伴うリスク
- 再感染
【20代 女性】
歯並びを治したい
- 担当医
- 生野 誠
- 主訴
- 前歯がガタガタで、口が閉じにくい。時々肩こりと頭痛がある
- 期間
- 3年
- 費用
- 80万
- 治療内容
- ワイヤーとアライナーのコンビネーション矯正
- 治療に伴うリスク
- 歯根吸収
後戻り
【20代 女性】歯並びを治したい
- 担当医
- 生野 誠
- 主訴
- 前歯がガタガタで、口が閉じにくい。時々肩こりと頭痛がある。
- 期間
- 3年
- 費用
- 80万
- 治療内容
- ワイヤーとアライナーのコンビネーション矯正
- 治療に伴うリスク
- 歯根吸収
後戻り
【50代 女性】
前歯が中に入っている
- 担当医
- 生野 誠
- 主訴
- 前歯が中に入っている
歯並びを治したい
奥歯の被せ物が外れる
- 期間
- 3.5年
- 費用
- 120万
- 治療内容
- インビザライン
セラミック治療
精密根管治療
- 治療に伴うリスク
- 歯根吸収
後戻り
セラミックの破折
【30代女性】
笑うと歯茎が出てしまう
【歯列矯正、クラウンレングスニング】
- 担当医
- 生野 誠
- 主訴
- 笑うと歯茎が出てしまう
- 期間
- 12ヶ月
- 費用
- 100万円
- 治療内容
- インビザラインによる歯列矯正
クラウンレングスニング(執刀医:小川雄大)
- 治療に伴うリスク
- 後戻り
歯根吸収
【20代 男性】
前歯が気になる
- 担当医
- 荻原 太郎
- 主訴
- 前歯が出ているのが気になる
虫歯の治療をしたい
- 期間
- 36ヶ月
- 費用
- 120万
- 治療内容
- ワイヤーとインビザラインを併用した抜歯矯正
セラミック治療
クラウンレングスニング
ダイレクトボンディング
- 治療に伴うリスク
- 後戻り
歯根吸収
【30代 女性】
歯並びを何とかしたい
- 担当医
- 生野 誠
- 主訴
- 歯並びを何とかしたい
- 期間
- 36ヶ月
- 費用
- 120万
- 治療内容
- インプラントアンカーを応用した抜歯矯正
セラミック修復
ダイレクトボンディング
- 治療に伴うリスク
- 後戻り
歯根吸収
セラミックの破折
【30代 女性】
歯の隙間と前歯を引っ込めたい
- 担当医
- 生野 誠
- 主訴
- 前歯の隙間と出ているのを治したい
- 期間
- 3年
- 費用
- 110万
- 治療内容
- 矯正治療
セラミックラミネートベニア
- 治療に伴うリスク
- 後戻り
歯根吸収
セラミックの脱離