【30代 女性】
歯の隙間と前歯を引っ込めたい
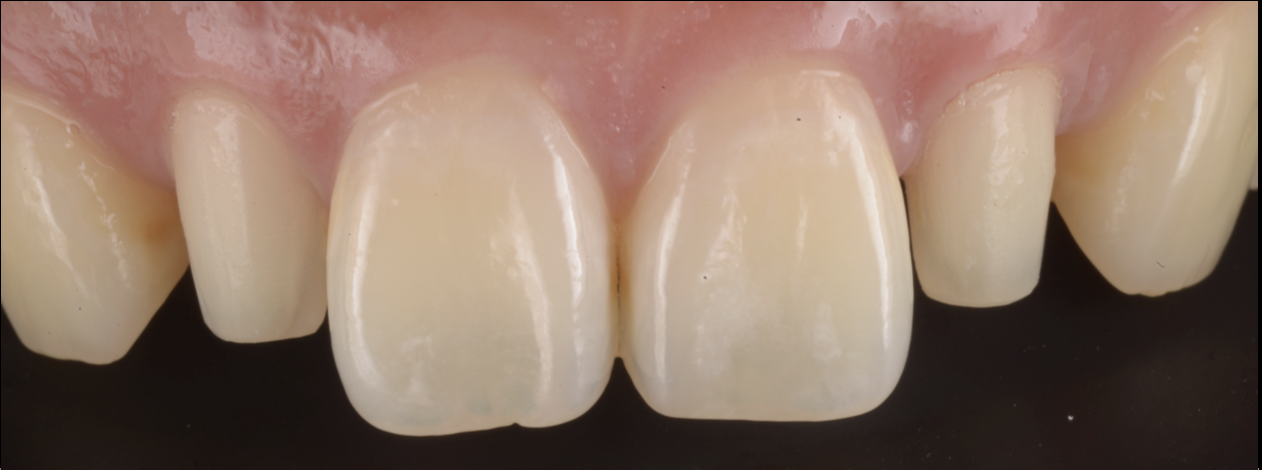
治療前
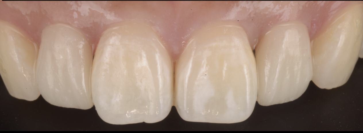
治療後
治療前
治療後
| 担当医 | 生野 誠 |
|---|---|
| 主訴 | 前歯の隙間と出ているのを治したい |
| 期間 | 3年 |
| 費用 | 110万 |
| 治療内容 | 矯正治療 セラミックラミネートベニア |
| 治療に伴うリスク | 後戻り 歯根吸収 セラミックの脱離 |





















矯正治療によりバイトアップして、前歯を下げて矮小歯のところはラミネートベニアで修復した
治療で得られるメリット:審美的改善、
治療スペースの確保