【20代男性】
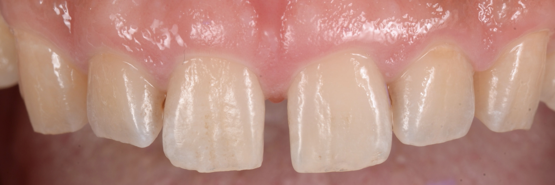
外傷により
失ってしまった歯質を
ダイレクトボンディングによって改善した症例
治療前
治療後
治療前
治療後
| 担当医 | 荻原 太郎 |
|---|---|
| 主訴 | 外傷により失ってしまった |
| 期間 | 1日 |
| 費用 | 5万円〜 |
| 治療内容 | ダイレクトレストレーションにより 1日で完了 |
| 治療に伴うリスク | 修復物の脱落、チップ |





















すきっ歯も同時になすこともできましたが、その部分のみ回復することを望まれました。
治療で得られるメリット:歯を復元することができる、セラミック治療に比べると安価、歯をほぼ削らない