症例をご確認いただけます|池袋駅西口徒歩5分・豊島区池袋の歯科医院「グランドメゾンデンタルクリニック」
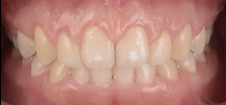
笑うと歯茎が出る(ガミースマイル)
【30代女性】
笑うと歯茎が出てしまう
【歯列矯正、クラウンレングスニング】
- 担当医
- 生野 誠
- 主訴
- 笑うと歯茎が出てしまう
- 期間
- 12ヶ月
- 費用
- 100万円
- 治療内容
- インビザラインによる歯列矯正
クラウンレングスニング(執刀医:小川雄大)
- 治療に伴うリスク
- 後戻り
歯根吸収
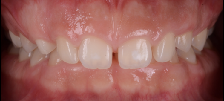
【10代 女性】
歯の隙間を
埋めてほしい、
笑うと歯茎が気になる
- 担当医
- 生野 誠
- 主訴
- 歯の隙間を埋めてほしい
笑うと歯茎が出るのが気になる
- 期間
- 24ヶ月
- 費用
- 80万
- 治療内容
- ワイヤー矯正治療
クラウンレングスニング
- 治療に伴うリスク
- 後戻り、歯根吸収
【20代女性】
ガミースマイルを
改善する(歯肉整形)
- 担当医
- 荻原 太郎
- 主訴
- 笑った時歯茎が見えるのが恥ずかしい
物心ついた時から気になっていた
この際治したい
- 期間
- 1日
- 費用
- 7万5千円
- 治療内容
- クラウンレングスニングという特殊な手法で歯茎の長さを変えます。
痛みはほとんど出ません。
- 治療に伴うリスク
- 知覚過敏