前歯が中に入っている
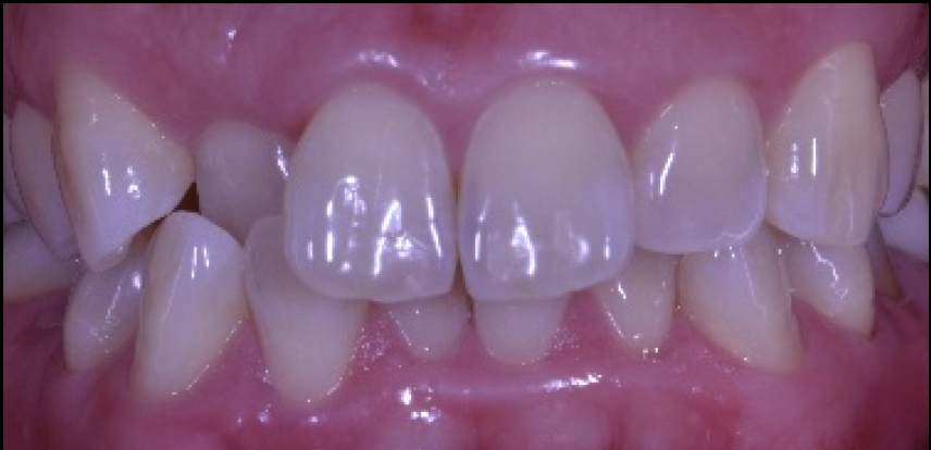
- 治療前

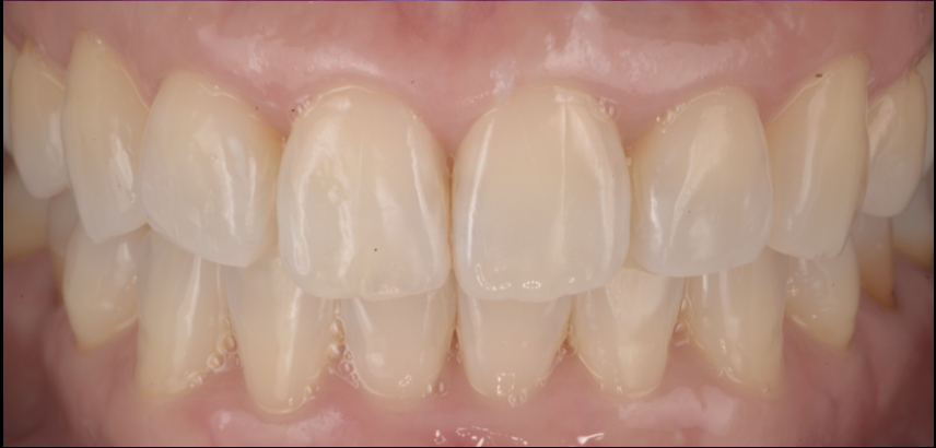
- 治療後

| 主訴 | 前歯が中に入っている 歯並びを治したい 奥歯の被せ物が外れる |
|---|---|
| 治療内容 | インビザライン セラミック治療 精密根管治療 |
| 患者様の年齢 | 50代 |
| 患者様の性別 | 女性 |
| 治療期間 | 3.5年 |
| 治療費 | 120万 |
| 治療で得られるメリット | 咬合の安定化 歯の保存 |
| 治療する際に起こる リスク・副作用 |
歯根吸収 後戻り セラミックの破折 |
担当医

生野 誠
九州歯科大学卒業後、慶應義塾大学医学部での臨床経験と東京医科歯科大学大学院での研究実績を持つ生野誠院長。日本口腔外科学会認定医として、一般歯科から高度な口腔外科手術まで対応。患者様の生活の質を高めることを使命とし、わかりやすい説明と誠実な治療を提供しています。
池袋の歯医者 グランドメゾンデンタルクリニック
グランドメゾンデンタルクリニック
〒171-0014
東京都豊島区池袋2丁目60−6 グランドメゾン池袋一番館103
池袋駅西口C6出口 徒歩5分
平日 10:00~14:00 / 15:30~19:30
休診日 祝日