【50代男性】
インプラントと再生療法にて
両側臼歯部の咬合支持を回復させた症例
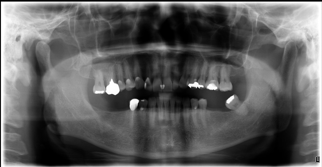
主訴となる右上奥歯は、長期間対となる下の歯がなかったため咬合平面から大きく逸脱しており歯を支える周囲組織も喪失していた。
これ以上歯を失いたくないという強い希望により、その歯は精密根管治療と歯周組織再生療法により保存し、他の奥歯はインプラントのスペース確保、咬合平面の是正のため歯髄を温存しつつ接着修復を行なった。
また、両側欠損部組織も高度に吸収していたため、歯肉・骨の造成を行いインプラントを埋入した。仮歯にて歯間乳頭を調整し、インプラント間の清掃を容易にした。
これ以上歯を失いたくないという強い希望により、その歯は精密根管治療と歯周組織再生療法により保存し、他の奥歯はインプラントのスペース確保、咬合平面の是正のため歯髄を温存しつつ接着修復を行なった。
また、両側欠損部組織も高度に吸収していたため、歯肉・骨の造成を行いインプラントを埋入した。仮歯にて歯間乳頭を調整し、インプラント間の清掃を容易にした。
治療前
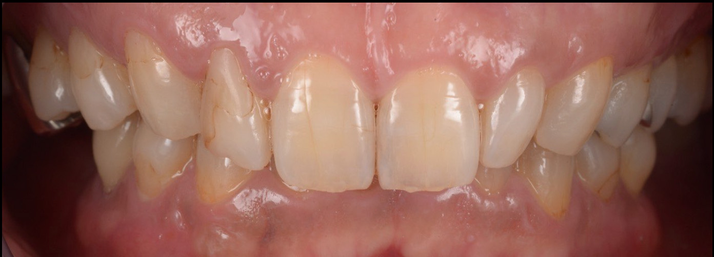
治療後
治療後
治療後
治療前
治療後
治療前
治療後
治療で得られるメリット:歯の保存、咬合の回復
| 担当医 | 生野 誠 |
|---|---|
| 主訴 | 右上奥歯が痛い。 昔歯を失い、歯医者が嫌いになりそのままにしていた。 後悔していたのでもう一度頑張りたい。 |
| 期間 | 18ヶ月 |
| 費用 | 280万円 |
| 治療内容 | 両側下顎臼歯部の歯肉、骨造成及びインプラント補綴 右上臼歯部の精密根管治療、歯周組織再生療法 両側上顎臼歯部の接着性セラミック修復 |
| 治療に伴うリスク | インプラント周囲炎 セラミックの破折 |




















