症例をご確認いただけます|池袋駅西口徒歩5分・豊島区池袋の歯科医院「グランドメゾンデンタルクリニック」

症例 Cases

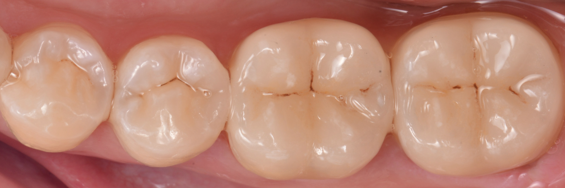
【20代 男性】
奥歯の
大きな虫歯の治療

治療前

治療後

治療中

ラバーダムを用いてセラミックを装着していきます

治療で得られるメリット :機能回復
担当医 準備中
主訴 奥歯が痛い
期間 2ヶ月
費用 セラミックアンレー95,000円〜
治療内容 まず炎症が生じている神経の治療を行う
その後に歯冠修復処置をダイレクトレストレーション及びセラミックを用いて行った
治療に伴うリスク 知覚過敏
セラミックの破折

関連症例