【30代】
セラミック治療、
奥歯の虫歯、
不適合修復物の治療
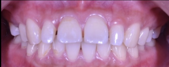
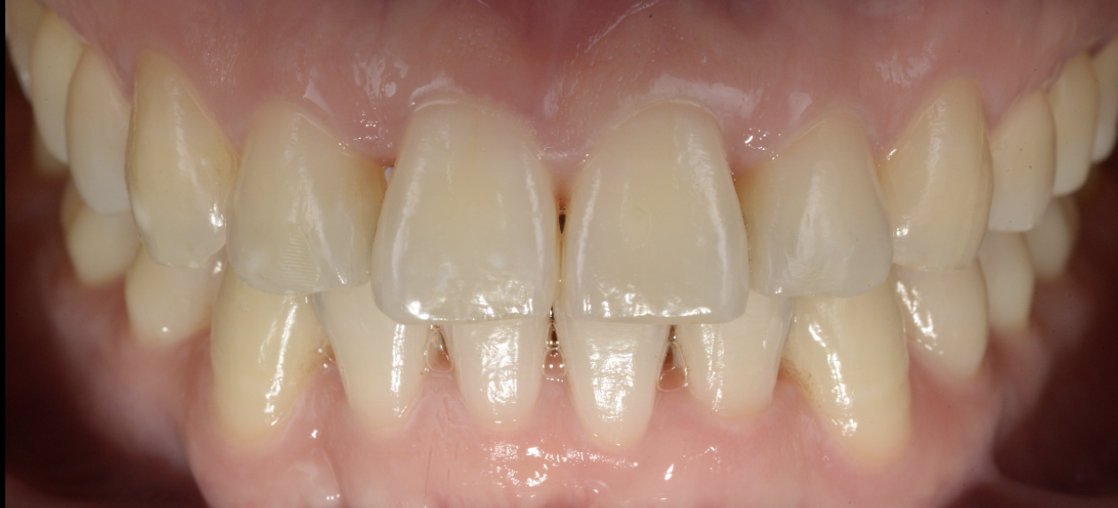
治療前
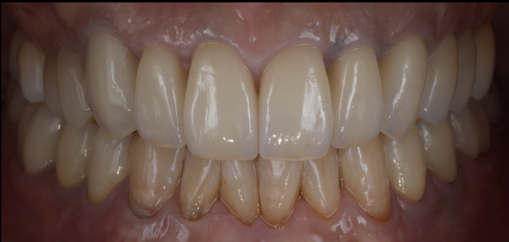
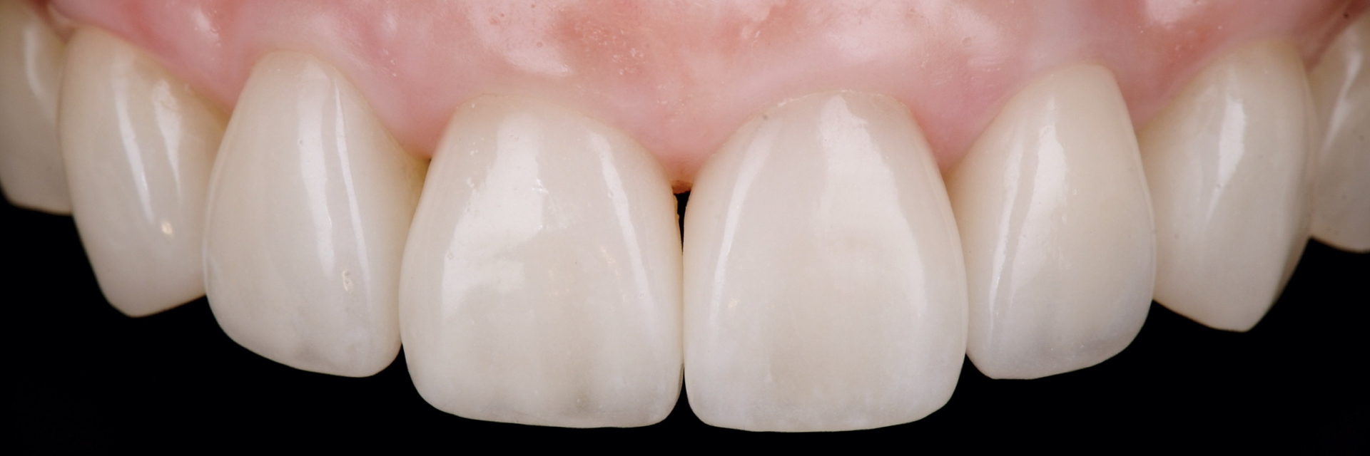
治療後
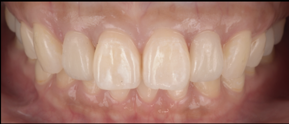
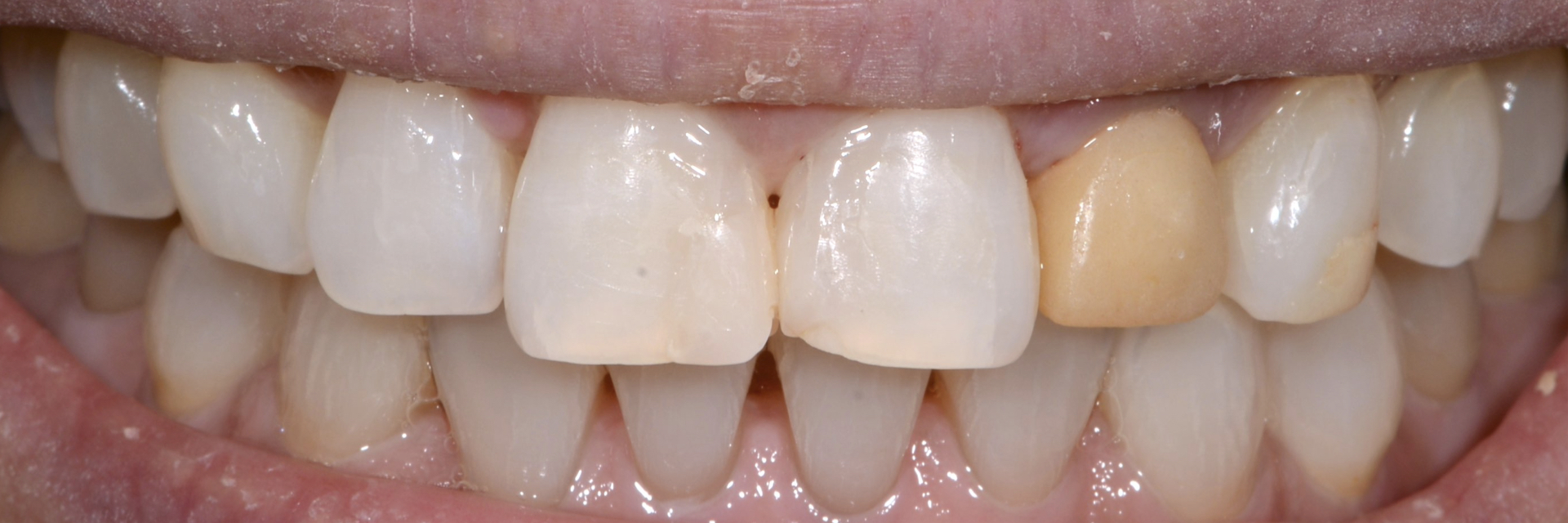
治療中
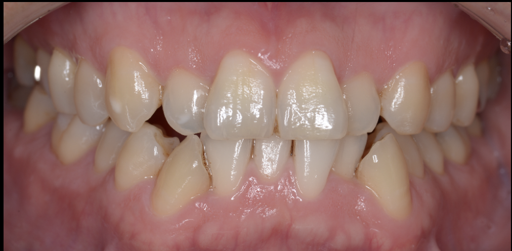
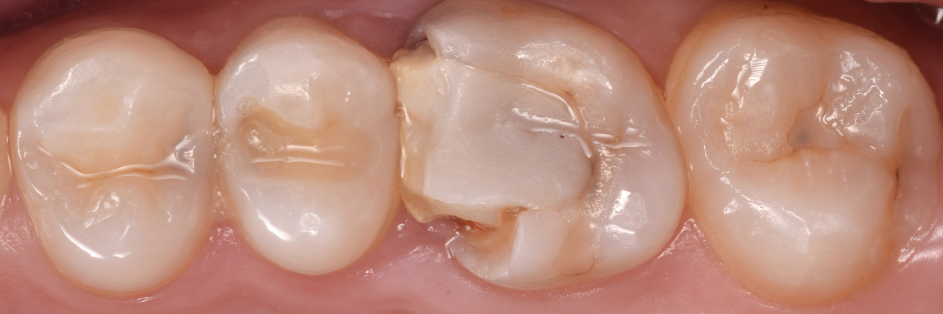
治療中
| 担当医 | 荻原 太郎 |
|---|---|
| 主訴 | 虫歯、銀歯を治療したい |
| 期間 | 1ヶ月 |
| 費用 | 8.5〜13万/箇所 |
| 治療内容 | ラバーダム防湿下での セラミックによる修復治療 |
| 治療に伴うリスク | 知覚過敏 |





















再虫歯のリスクを最小化