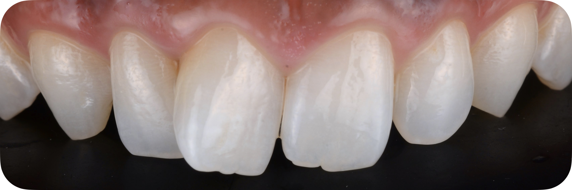
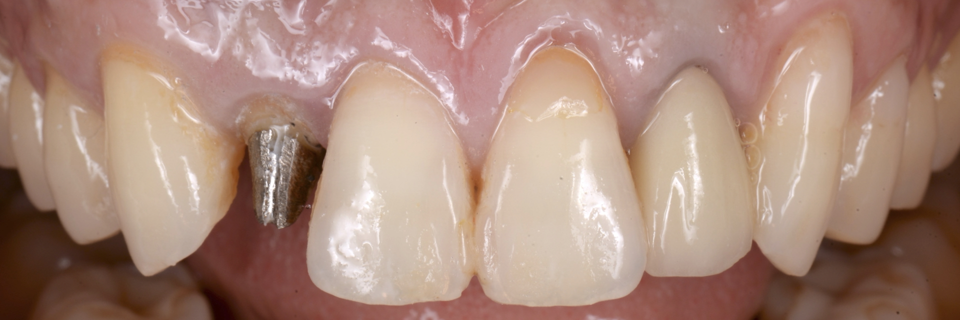
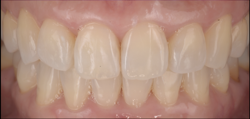
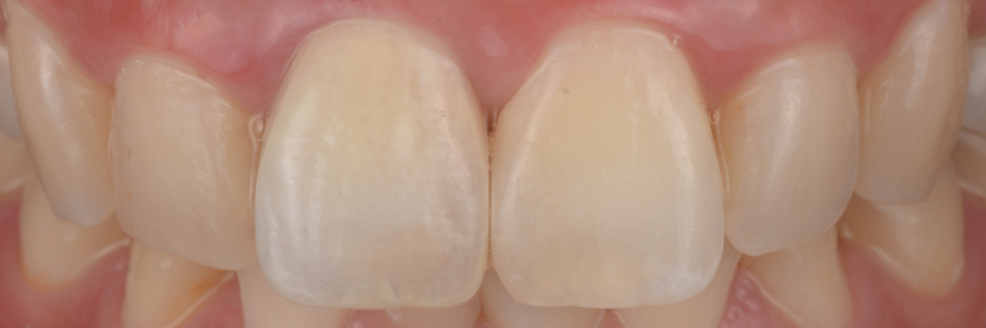
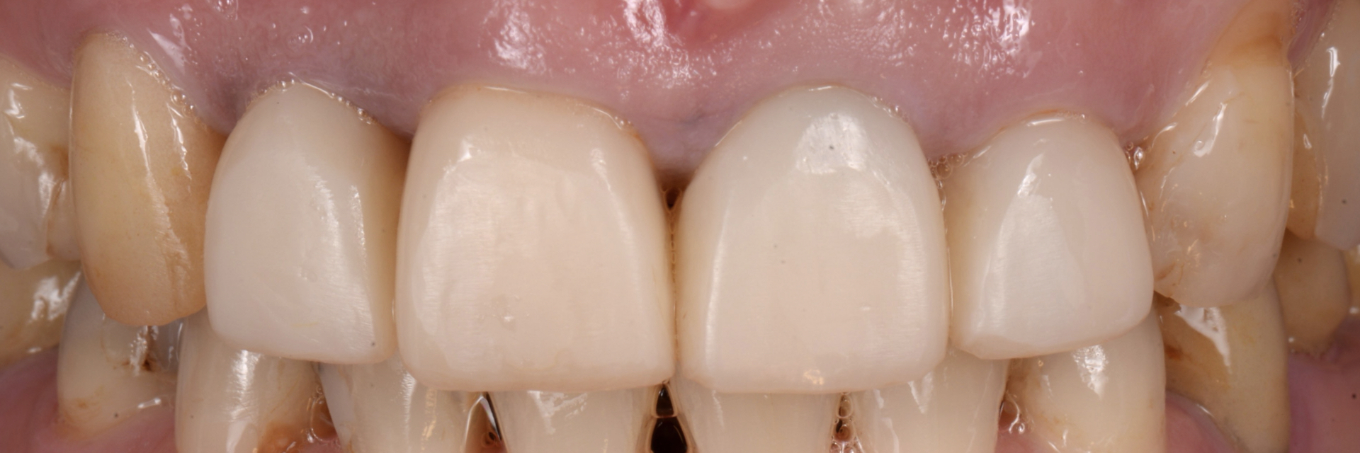
【20代 女性】
歯が割れた患者さん、
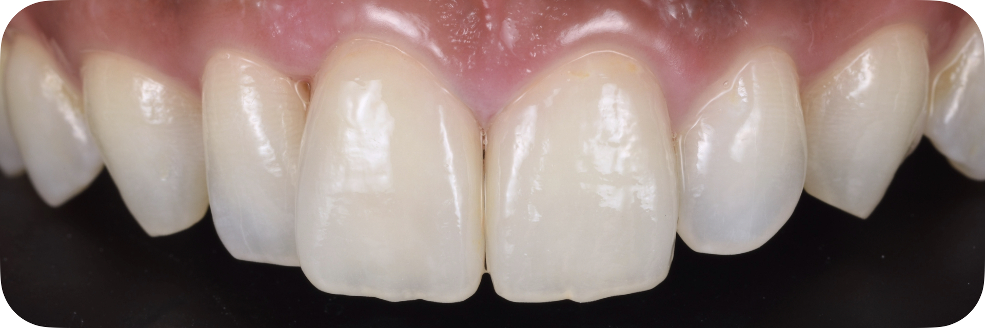
セラミック治療
(ラミネートベニヤ)
治療前
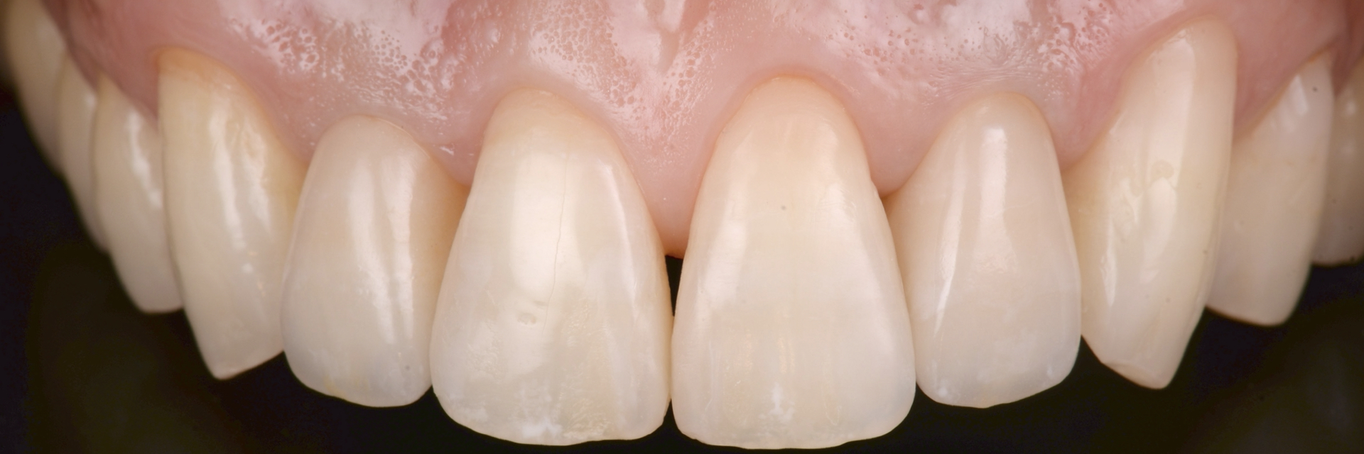
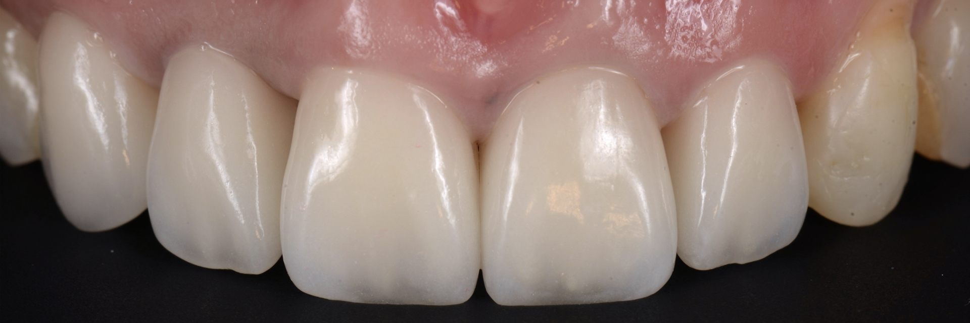
治療後
| 担当医 | 荻原 太郎 |
|---|---|
| 主訴 | 歯を綺麗にしたい |
| 期間 | 約2ヶ月 |
| 費用 | 21万/箇所(技工士により変動) |
| 治療内容 | ラミネートベニヤ(薄いセラミック)により修復した |
| 治療に伴うリスク | セラミックの破折 |





















治療で得られるメリット:
自然感のある歯になる