症例をご確認いただけます|池袋駅西口徒歩5分・豊島区池袋の歯科医院「グランドメゾンデンタルクリニック」
ルートカバレッジ(根面被覆術)
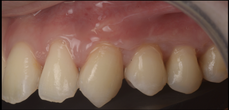
【30代男性】
歯茎の下りが気になる
【結合組織移植術】
- 担当医
- 生野 誠
- 主訴
- 歯茎の下りが気になる
歯が沁みる
歯ブラシが痛い
- 期間
- 1回
- 費用
- 12万円
- 治療内容
- ルートカバー(結合組織移植術)
- 治療に伴うリスク
- 外科的侵襲
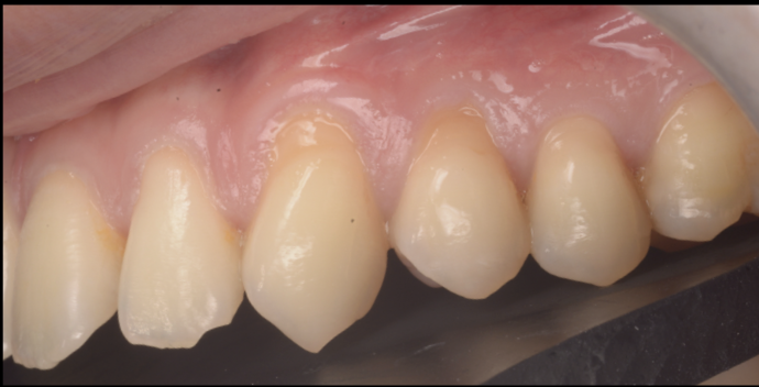
【60代女性】
歯の破折、歯肉退出、審美障害をルートカバーとバイトアップ、
セラミック修復により改善した症例
- 担当医
- 生野 誠
- 主訴
- 前歯が折れた。
歯がグラグラする。
歯茎が痩せている。
以前治療した歯の色が合ってない。
- 期間
- 12ヶ月
- 費用
- 200万円
- 治療内容
- 歯周病治療、ルートカバー(結合組織移植)、精密根管治療、ファイバーを用いた支台築造、ジルコニアクラウン、セラミックオーバーレイによるバイトアップ
- 治療に伴うリスク
- セラミックの脱離、破折