右上犬歯の埋伏と左臼歯のシザーズバイトを「非抜歯矯正+セラミック+クラウンレングスニング」で改善した症例|池袋
右上犬歯の埋伏、左臼歯のシザーズバイトを非抜歯矯正で改善。クラウンレングスニングとセラミック修復で歯ぐきラインと見た目も整えた症例を解説。
「犬歯が出てこない」「奥歯の噛み合わせがズレている」「前歯の長さ・歯ぐきのラインが気になる」——
これらは矯正だけ、あるいは被せ物だけで無理に整えると、仕上がりや長期安定に限界が出ることがあります。
今回ご紹介するのは、
• 右上犬歯の埋伏(出てこない犬歯)
• 左臼歯部のシザーズバイト(鋏状咬合)
を、非抜歯矯正で改善し、さらにクラウンレングスニング(歯冠長延長術)とセラミック修復で、機能と審美を両立させた症例です。
「犬歯が出てこない」「奥歯の噛み合わせがズレている」「前歯の長さ・歯ぐきのラインが気になる」——
これらは矯正だけ、あるいは被せ物だけで無理に整えると、仕上がりや長期安定に限界が出ることがあります。
今回ご紹介するのは、
• 右上犬歯の埋伏(出てこない犬歯)
• 左臼歯部のシザーズバイト(鋏状咬合)
を、非抜歯矯正で改善し、さらにクラウンレングスニング(歯冠長延長術)とセラミック修復で、機能と審美を両立させた症例です。
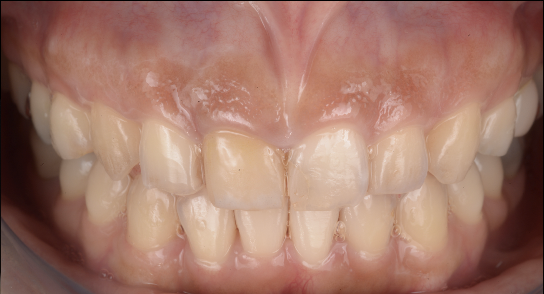
治療前
治療後
矯正終了後(クラウンレングスニング)
術中(クラウンレングスニング)
| 担当医 | 生野誠 |
|---|---|
| 主訴 | 犬歯が歯茎の中に埋まっている 左奥歯がずれていて噛めない 笑うと歯茎が気になる |
| 期間 | 3年 |
| 費用 | 200万 |
| 治療内容 | 非抜歯矯正(ワイヤーとインビザライン) 精密根管治療 セラミック修復 ダイレクトボンディング クラウンレングスニング |
| 治療に伴うリスク | よくある質問 Q1. 埋伏した犬歯は抜歯になりますか? 状態によりますが、牽引して並べられるケースは多くあります。位置・角度・スペース・周囲歯根への影響を診断して方針を決めます。 Q2. シザーズバイトは矯正で治せますか? はい、治療可能なことが多いです。ただし、単に歯を動かすだけでなく、奥歯の咬合設計と歯周組織への負担管理が重要です。 Q3. 矯正後にクラウンレングスニングをする理由は? 矯正で歯の位置が整った後に、歯ぐきラインを整えると、左右差の少ない自然な口元に近づき、セラミックの完成度も上がります。 Q4. セラミックは何本から必要ですか? 「どこまで整えたいか」によります。必要最小限で成立する場合もあれば、左右のバランスのために範囲を広げる場合もあります。仮歯で確認しながら決めます。 ⸻ 池袋で「埋伏犬歯」「シザーズバイト」「審美修復」をまとめて相談したい方へ グランドメゾンデンタルクリニック(池袋)では、 矯正・歯周外科・審美補綴を一つの治療計画として統合し、 「見た目」だけでなく「噛める」「長持ちする」ゴールを目指します。 気になる方は、まずは現状の診断からご相談ください。 |





















1)埋伏犬歯(右上犬歯)
犬歯は「噛み合わせのガイド」になりやすい重要な歯です。
埋伏したままだと、見た目だけでなく、隣の歯の根吸収リスクや、咬合誘導の不安定さにつながることがあります。
2)シザーズバイト(左臼歯部)
シザーズバイトは、上下の奥歯がハサミのようにすれ違って噛み合う状態で、
• 咀嚼効率の低下
• 特定の歯への過負荷
• 歯周組織への悪影響
などにつながりやすい噛み合わせです。
⸻
治療方針(なぜ「非抜歯+外科/補綴」なのか)
今回のゴールは「見た目が整う」だけでなく、噛める/長持ちすること。
そのために、
1. 非抜歯矯正で
埋伏犬歯の誘導(必要に応じて牽引)+シザーズバイトの改善
2. 歯ぐきライン・歯の見え方を整えるために
クラウンレングスニング
3. 形・色・質感の最終仕上げとして
セラミック修復
という順番で、土台(歯並び・噛み合わせ)→歯ぐき→歯の形の流れで整えました。
⸻
治療の流れ
Step1:非抜歯矯正(埋伏犬歯/シザーズバイトの改善)
• スペース確保・歯列の拡大/配列のコントロール
• 必要に応じて埋伏犬歯の開窓・牽引(ケースにより適応)
• 左臼歯部は、咬合を壊さない範囲で咬合関係の再構築(クロス咬合是正やゴム掛け等を含む設計)
ポイント:
「抜歯して並べる」よりも、歯の幅径や歯列形態、歯周組織の許容範囲を見極めながら、
“非抜歯でも破綻しない設計”で進めることが重要です。
Step2:クラウンレングスニング(歯冠長延長術)
矯正で歯並びが整うと、次に気になるのが
歯の長さ・左右差・歯ぐきラインです。
クラウンレングスニングでは、
• 歯ぐきのラインを整える
• 必要に応じて骨の位置(生物学的幅径)も考慮して安定させる
ことで、セラミックの仕上がりだけでなく、清掃性・再発リスクも含めて整えます。
Step3:セラミック修復で最終仕上げ
• 仮歯で形・長さ・発音・見え方を確認
• 最終のセラミックで、自然な透明感・表面性状まで合わせる
「白くする」より、顔貌・口元・歯肉との調和を優先した設計にすることで、過度に不自然な仕上がりを避けます。
⸻
この症例で大切にしたこと(池袋で相談される方へ)
• 犬歯は“見た目の歯”ではなく、機能の要(ガイド)として考える
• シザーズバイトは放置せず、噛み合わせ全体の設計で改善する
• 審美は「歯」だけでなく、歯ぐき(歯肉ライン)から逆算する
• 矯正→歯周外科→補綴を、別々にやるのではなく一つの治療計画で統合する