【50代 男性】
歯並びを治したい
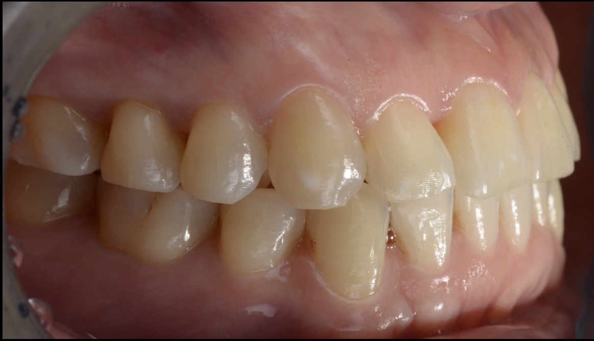
治療前
治療後
上顎の叢生(歯のガタガタ)と下顎の左側へのズレを認める
治療前(側面観)
治療後(側面観)
治療で得られるメリット :歯並び、
噛み合わせの改善
噛み合わせの改善
| 担当医 | 生野 誠 |
|---|---|
| 主訴 | 歯並びを治したい 噛み合わせが良くなく、以前顎関節症で左顎が痛くなったことがある |
| 期間 | 24ヶ月 |
| 費用 | 150万 |
| 治療内容 | ワイヤーとアライナーの コンビネーション矯正 セラミック修復 ダイレクトボンディング |
| 治療に伴うリスク | 後戻り セラミックの脱離、破折 コンポジットレジンの劣化 |




















