【20代 男性】
インプラントと
結合組織移植により
前歯の審美的機能的
崩壊を回復したケース
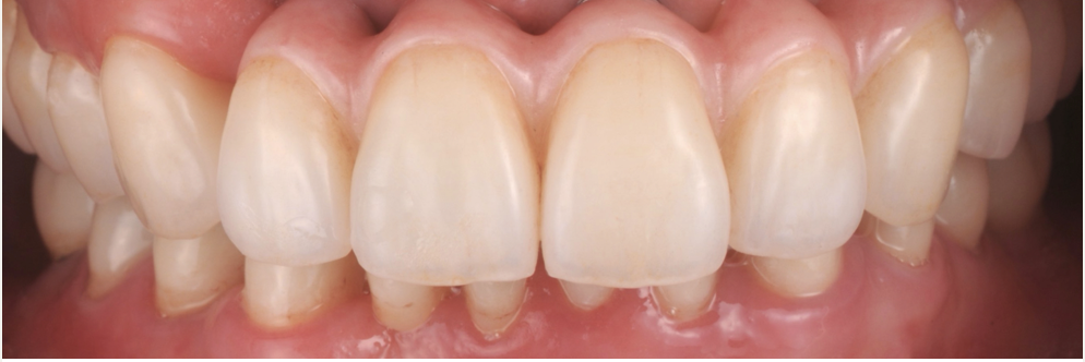
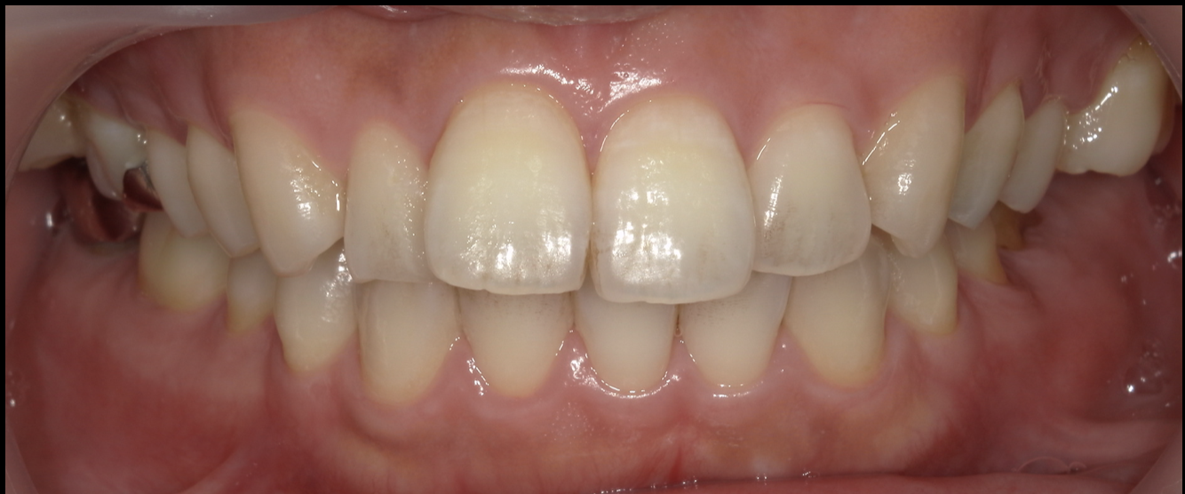
治療前
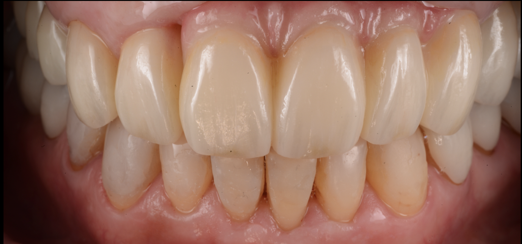
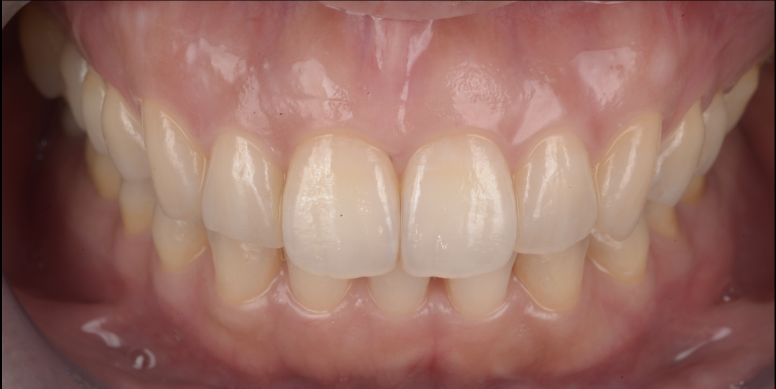
治療後
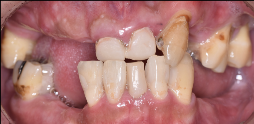
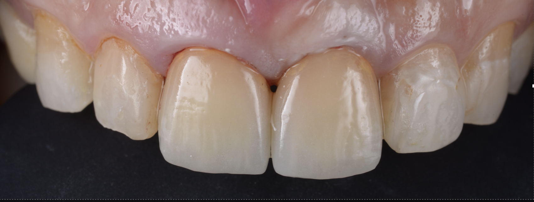
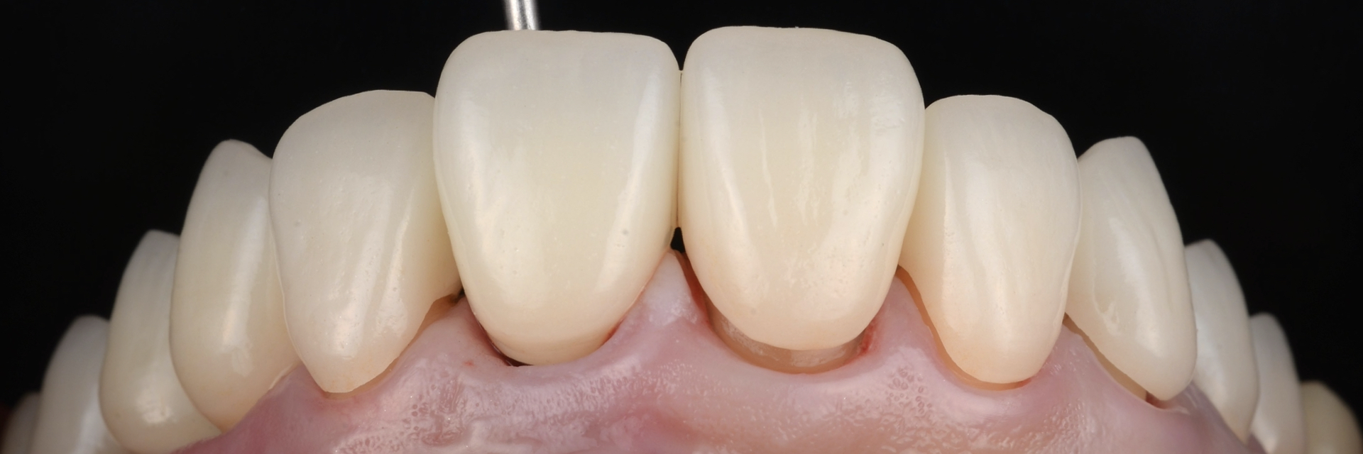
治療中
治療中
インプラント
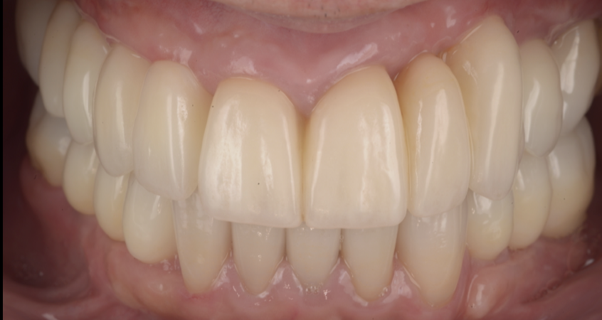
治療後
治療で得られるメリット :審美性、機能性
| 担当医 | 荻原 太郎 |
|---|---|
| 主訴 | 前歯を治したい |
| 期間 | 1年 |
| 費用 | 300万円程度 |
| 治療内容 | インプラント、歯肉移植、 セラミック治療により審美機能回復 |
| 治療に伴うリスク | セラミックチップ 歯根破折 インプラント周囲炎 |




















