【30代 女性】
歯並びを何とかしたい
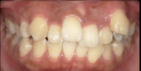
治療前
治療後
| 担当医 | 生野 誠 |
|---|---|
| 主訴 | 歯並びを何とかしたい |
| 期間 | 36ヶ月 |
| 費用 | 120万 |
| 治療内容 | インプラントアンカーを応用した抜歯矯正 セラミック修復 ダイレクトボンディング |
| 治療に伴うリスク | 後戻り 歯根吸収 セラミックの破折 |





















奥歯の噛み合わせを考慮し、インプラントアンカーを用いて矯正を行なった
治療で得られるメリット:歯並びの改善、
う蝕の制御