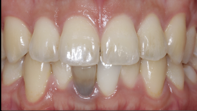
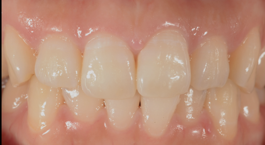
【20代女性】左上の前歯が暗くなって気になる
【根管治療・ホワイトニング】
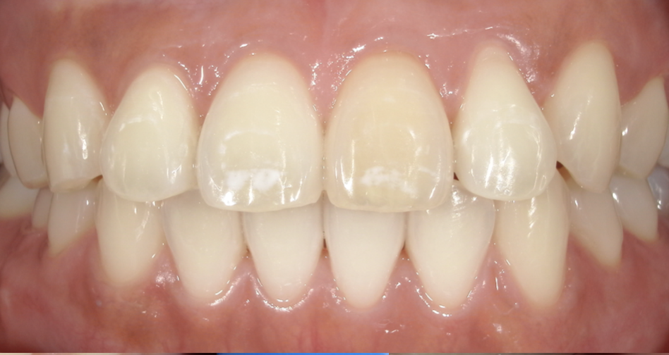
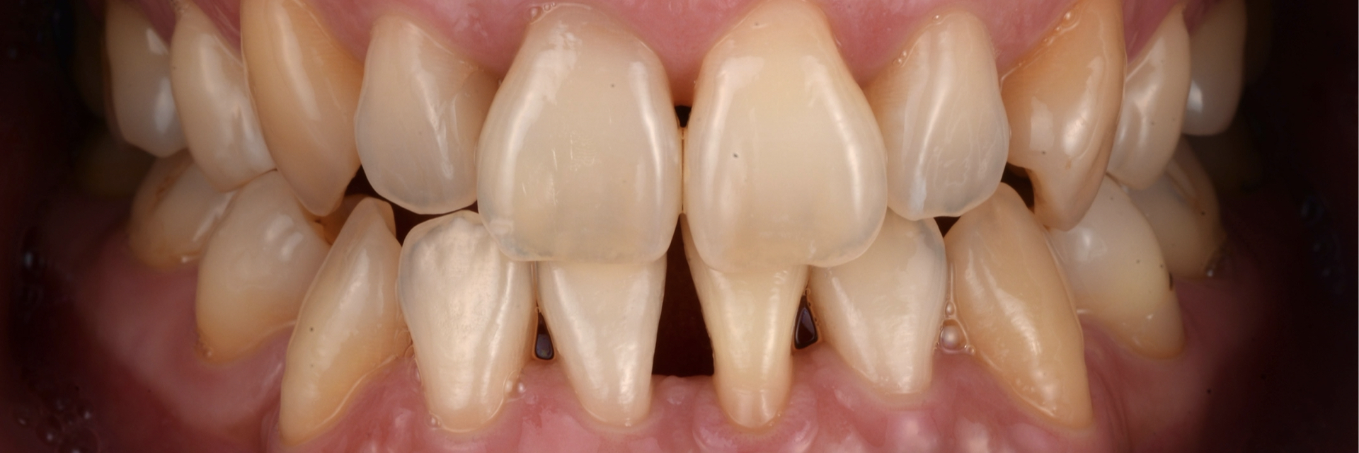
口腔内拝見した時に、失活による歯の変色、歯根吸収と根尖病巣による歯の動揺を認めました。
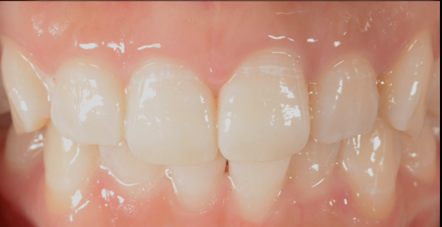
以前の矯正治療による偶発症として失活してしまい歯髄の狭窄があったため、保存は難しかったですが、患者様の強い希望によりマイクロスコープにて詰まった閉塞した根管を探索し、根管治療を行うことができました。
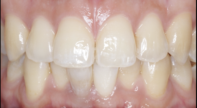
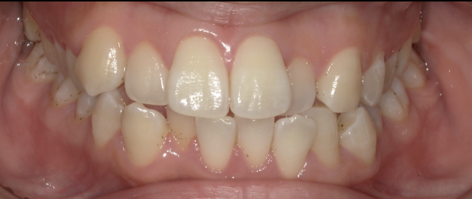
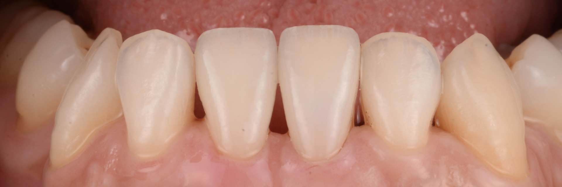
根管治療後は炎症が抑えられたため動揺がなくなり、2回のインナーブリーチによる色調回復で治療を終えました。患者様も周りからわからなくなったと言われ喜んでいました。
以前の矯正治療による偶発症として失活してしまい歯髄の狭窄があったため、保存は難しかったですが、患者様の強い希望によりマイクロスコープにて詰まった閉塞した根管を探索し、根管治療を行うことができました。
根管治療後は炎症が抑えられたため動揺がなくなり、2回のインナーブリーチによる色調回復で治療を終えました。患者様も周りからわからなくなったと言われ喜んでいました。
治療前
治療後
治療で得られるメリット:歯の保存、色調回復
| 担当医 | 生野 誠 |
|---|---|
| 主訴 | 左上の前歯が暗くなってきて気になる。 前院で歯の根っこの詰まってて、治療も難しいと言われた。 |
| 期間 | 2回 |
| 費用 | 6万円 |
| 治療内容 | 精密根管治療、インナーブリーチ |
| 治療に伴うリスク | 後戻り |












