【40代女性】
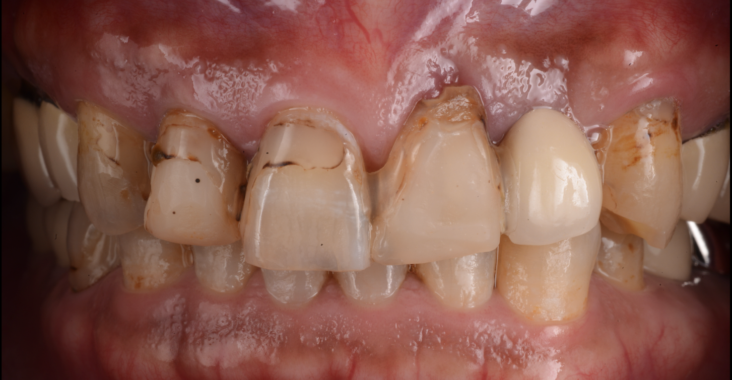
顔が腫れて痛い、他院で残せないと言われた
【根管治療】
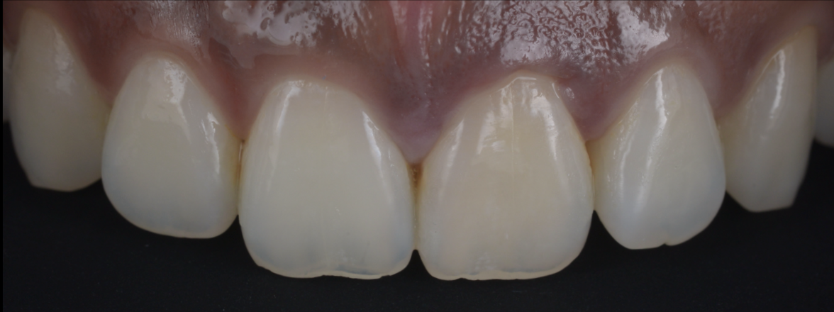
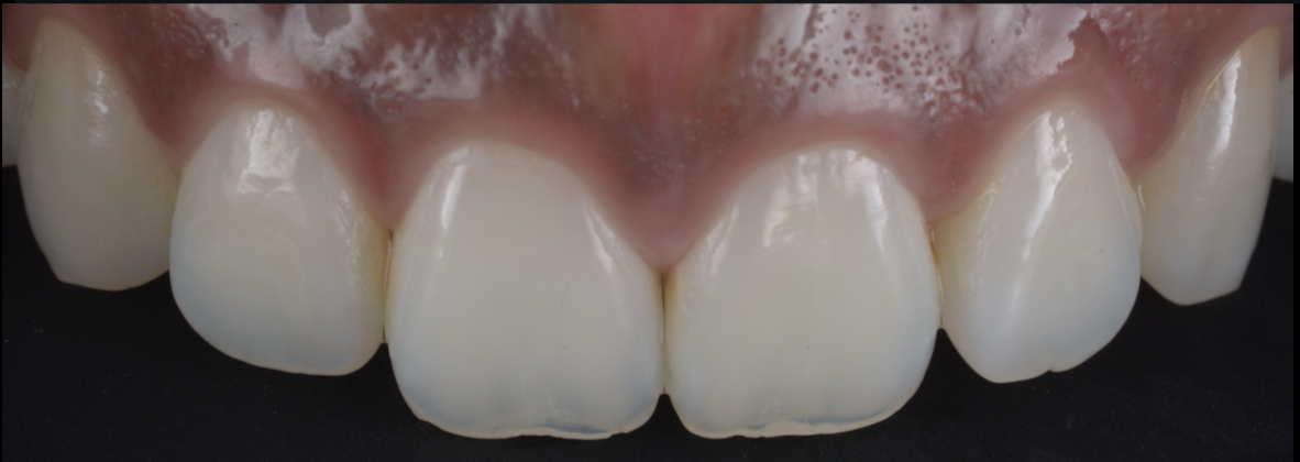
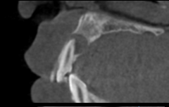
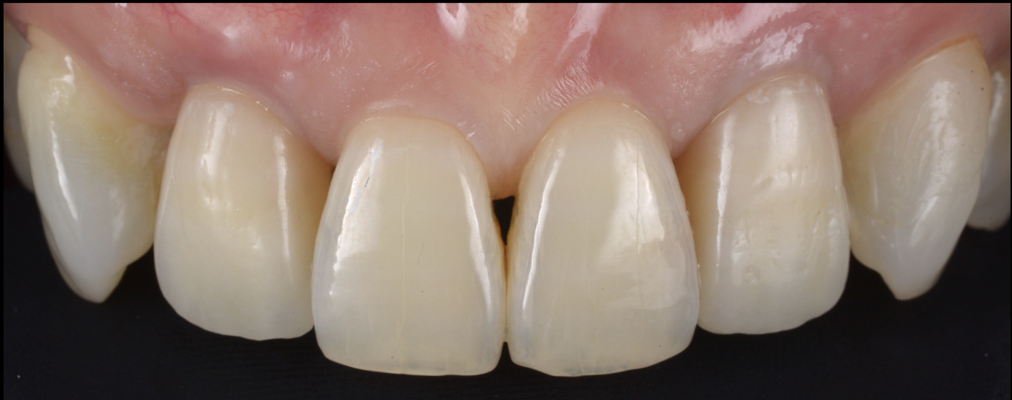
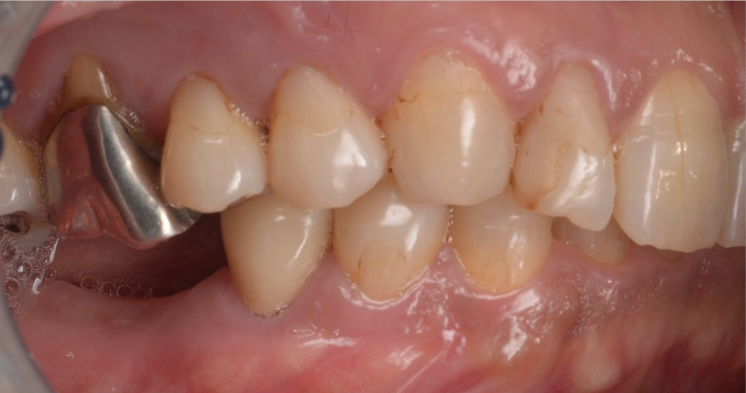
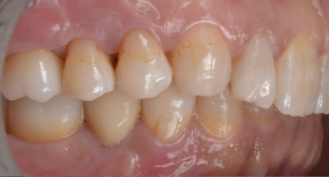
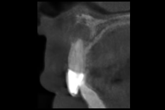
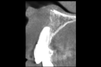
上唇の腫脹を認め、CT検査にて根尖部に嚢胞様透過像を認めた。左上の前歯が不自然に大きく噛み合わせが強くなっていたことがフレアアップの一因と考える。精密根管治療を行い、感染経路を遮断したのち歯根端切除術にて嚢胞を摘出した。
治療前
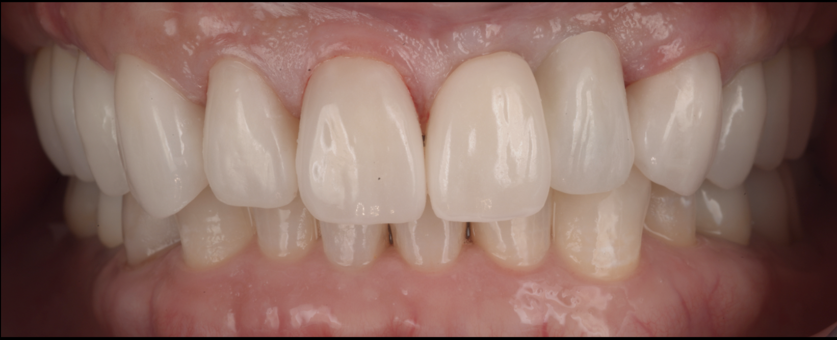
治療後
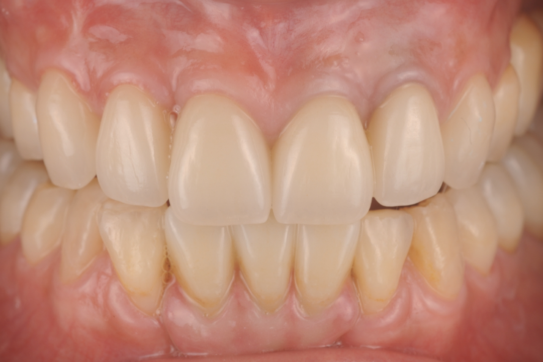
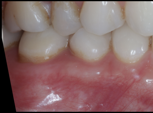
治療中
治療中
| 担当医 | 生野 誠 |
|---|---|
| 主訴 | 顔が腫れていたい 他院で残せないと言われた |
| 期間 | 6ヶ月 |
| 費用 | 35万円 |
| 治療内容 | 精密根管治療、歯根端切除術、セラミック修復 |
| 治療に伴うリスク | フレアーアップ |





















歯の保存、嚢胞の摘出、審美的改善