【20代 女性】
銀歯が外れて
歯が沁みる
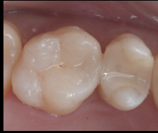
治療前
治療後
治療で得られるメリット :う蝕制御
| 担当医 | 生野 誠 |
|---|---|
| 主訴 | 銀歯が外れて歯が沁みる |
| 期間 | 1回 |
| 費用 | 4万 |
| 治療内容 | ダイレクトボンディング |
| 治療に伴うリスク | 材料の劣化 |




















