症例をご確認いただけます|池袋駅西口徒歩5分・豊島区池袋の歯科医院「グランドメゾンデンタルクリニック」

症例 Cases

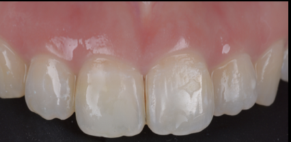
【20代 女性】
歯の白濁が気になる

治療前

治療後

治療3年後

治療後3年後、やり直しが必要か相談したいとのことで再来院
修復物の劣化はなく、着色がついていたため軽く研磨のみ行なった

治療で得られるメリット :歯を削らすに治療が可能
担当医 生野 誠
主訴 前歯の白濁が気になる 虫歯ですか?
期間 1回
費用 4万
治療内容 ダイレクトボンディング(ICON)
治療に伴うリスク 後戻り

関連症例