【20代 女性】
歯を白くしたい
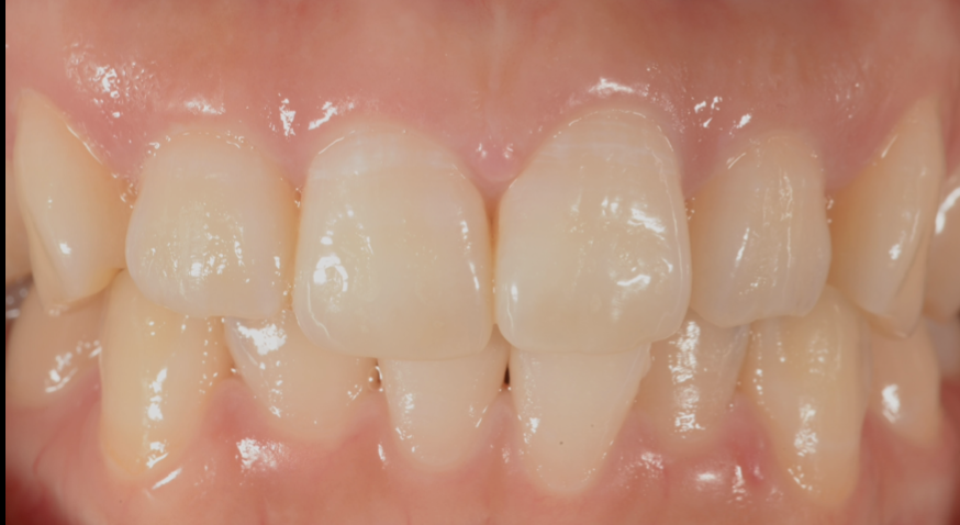
治療前
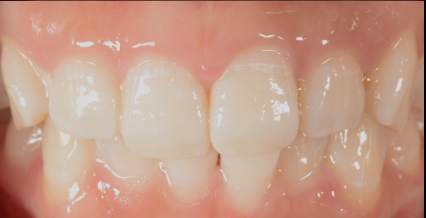
治療後
| 担当医 | 準備中 |
|---|---|
| 主訴 | 歯を白くしたい |
| 期間 | 1回 |
| 費用 | 3万 |
| 治療内容 | ポリリン酸を応用した オフィスホワイトニング |
| 治療に伴うリスク | 知覚過敏 後戻り |













ブリーチングと歯質補修