症例をご確認いただけます|池袋駅西口徒歩5分・豊島区池袋の歯科医院「グランドメゾンデンタルクリニック」

症例 Cases

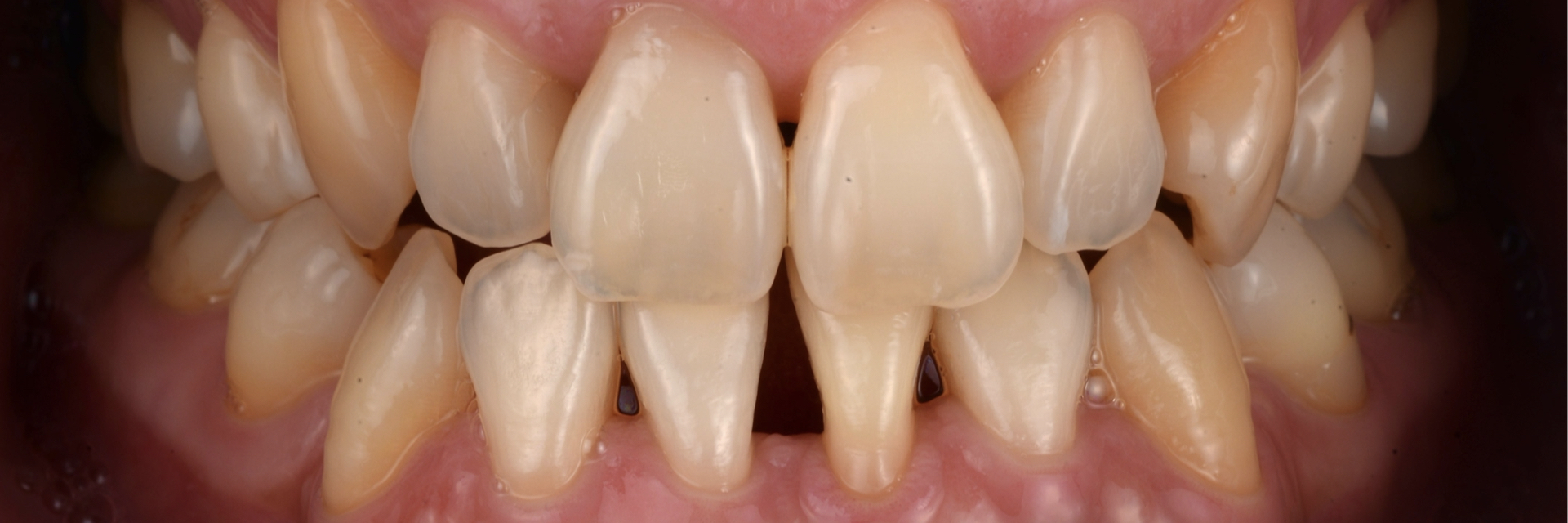
【40代 女性】
矯正後のすきっ歯の
ラミネートベニアによって改善(オフィスホワイトニング併用)

治療前

治療後

治療後

治療で得られるメリット :審美性
担当医 荻原 太郎
主訴 過去に矯正治療を行い、その後戻りを気にしている
期間 2ヶ月
費用 13万円〜/箇所
治療内容 過去に矯正治療を行い、その後戻りを気にされておりました
そこをラミネートベニアにより修復しております
オフィスホワイトニングも併用することによりより審美的に改善されております
治療に伴うリスク セラミックのチップ、術後の知覚過敏

関連症例