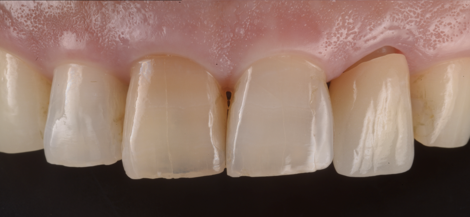
前歯1本だけのセラミック治療(シングルセントラル)|色・形・透明感を周囲に馴染ませたケース
初診時の状態
• 中切歯(前歯1本)の補綴物の色調差(黄味・不透明感)が目立つ
• 歯肉ライン・ブラックトライアングルの見え方、隣在歯とのライン(形態)不一致が気になる
• 周囲の天然歯は比較的きれいで、1本だけを自然に合わせる難易度が高い状態
診断・治療方針
シングルセントラルは「白くする」だけでは不自然になりやすいため、
①色(明度・彩度・透過性) ②形(輪郭・エッジ) ③表面性状(テクスチャ・艶)を、隣在歯に合わせて設計。
仮歯で見え方を確認しながら、最終補綴へ移行しました。
• 中切歯(前歯1本)の補綴物の色調差(黄味・不透明感)が目立つ
• 歯肉ライン・ブラックトライアングルの見え方、隣在歯とのライン(形態)不一致が気になる
• 周囲の天然歯は比較的きれいで、1本だけを自然に合わせる難易度が高い状態
診断・治療方針
シングルセントラルは「白くする」だけでは不自然になりやすいため、
①色(明度・彩度・透過性) ②形(輪郭・エッジ) ③表面性状(テクスチャ・艶)を、隣在歯に合わせて設計。
仮歯で見え方を確認しながら、最終補綴へ移行しました。
治療前
試適
治療後
前歯1本だけのセラミックは、周囲の歯に“合わせる治療”です。白さよりも、透明感・表面性状・ラインを丁寧に作ることで、近くで見ても自然に仕上がります。
他の前歯もプラスチックでの修復や失活歯など様々な状態の中で調和をとるために色調バランスのウエイトを重視しました。
他の前歯もプラスチックでの修復や失活歯など様々な状態の中で調和をとるために色調バランスのウエイトを重視しました。
| 担当医 | 生野誠 |
|---|---|
| 主訴 | 前歯が折れてとりあえずの仮歯を入れたままにしていた。 折れる可能性があるため部分矯正で引っ張り出さないといけないと言われた。 可能であればそのままやりたい |
| 期間 | • 期間:2週間〜1ヶ月 • 回数:4回(カウンセリング含む) |
| 費用 | セラミッククラウン(前歯1本):165000円(税込) ファイバーコア:22000円(税込) 仮歯:16500円(税込) |
| 治療内容 | 1. カウンセリング/写真・色合わせ(シェード) 2. 既存補綥物の除去・形成(必要最小限の切削を意識) 3. 精密印象(または口腔内スキャン) 4. プロビジョナル(仮歯)で形とラインを微調整 5. 技工士と情報共有(写真・シェード・マッピング) 6. セラミック装着(接着操作)→咬合・発音・清掃性を確認 使用材料 • オールセラミッククラウン(ジルコニア+レイヤリング ) |
| 治療に伴うリスク | • セラミックは強い衝撃で欠ける/割れることがあります • 歯ぎしり・食いしばりが強い場合、マウスピース(ナイトガード)を推奨します • 失活歯(神経のない歯)の場合、時間とともに色調変化が出ることがあります • 歯肉の状態や清掃状況により、歯ぐきのラインが変化することがあります |























