【50代 女性】
精密根管治療
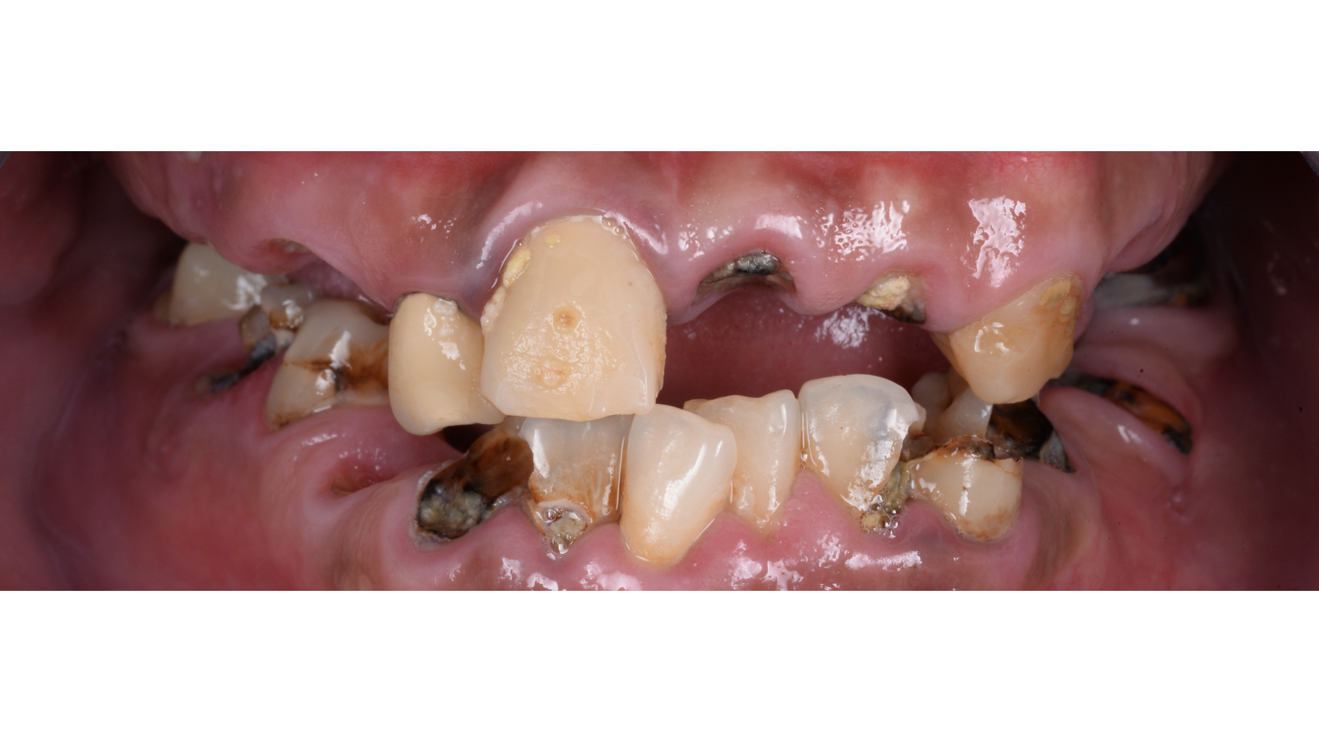
治療前
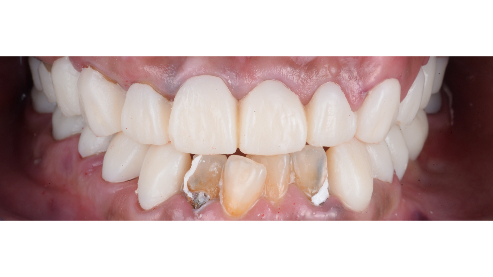
治療後
治療で得られるメリット :歯を残せる
| 担当医 | 準備中 |
|---|---|
| 主訴 | 何度も根の治療をしたのに治らない(ニキビのような膨れが治らない)ので、他院で抜歯と言われた もう一度トライしてほしい |
| 期間 | 1回もしくは2回 |
| 費用 | 7万〜 |
| 治療内容 | 精密根管治療 ラバーダム防湿下でマイクロスコープを用いた根管治療を行いました |
| 治療に伴うリスク | 処置後の一時的な痛みと腫れ |




















