症例をご確認いただけます|池袋駅西口徒歩5分・豊島区池袋の歯科医院「グランドメゾンデンタルクリニック」
虫歯治療
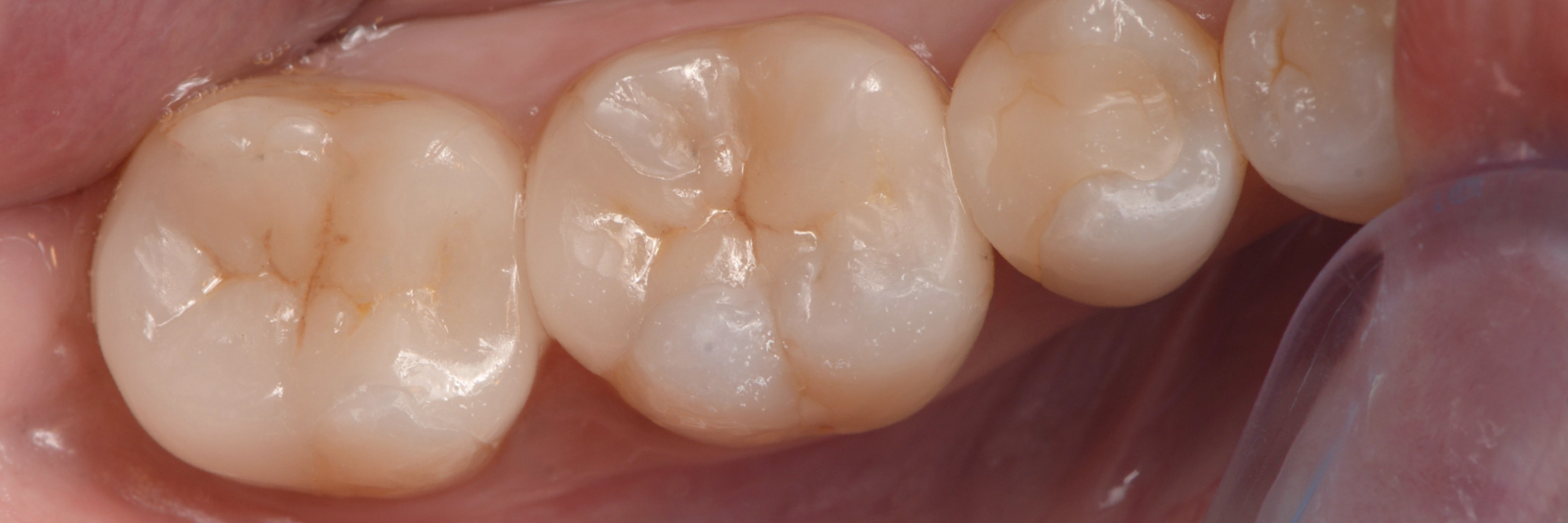
【20代】
セラミックの装着
- 担当医
- 荻原 太郎
- 主訴
- 虫歯の治療がしたい
- 期間
- 3週間
- 費用
- 9万5千円/歯
- 治療内容
- セラミックによる虫歯治療
- 治療に伴うリスク
- 破折
【40代男性】
歯の神経を残す治療
- 担当医
- 荻原 太郎
- 主訴
- 虫歯の治療
他院で神経をとる言われたが、神経を残す治療をしたい
- 期間
- 1回〜2回
- 費用
- 3万円〜
- 治療内容
- ラバーダムを使用し、唾液が入らない環境下で治療。
虫歯が大きいため、歯の中の神経(歯髄)が出ることが想定された。
通常の保険治療だと虫歯を削って神経が露出した場合、神経を取ることが多い。
露出した神経に特殊な薬(MTAセメント)を塗布することで歯髄を温存した。
この治療で重要なことは露出した神経に細菌感染を生じさせない、つまりラバーダム防湿等をすることによって、唾液への曝露を防ぐことそして、神経に直接触れさせても問題が出ない(生体親和性の高い)材料を使用することである。
これらを確実に行うことで、95%以上の成功率をおさめることが出来る。
- 治療に伴うリスク
- 準備中
【20代女性】
虫歯を治療したい
- 担当医
- 荻原 太郎
- 主訴
- 虫歯を治療したい
- 期間
- 2週間(2回)
- 費用
- 7万〜/箇所
- 治療内容
- セラミックによる虫歯治療
ラバーダム防湿下で再度治療が必要にならないよう、徹底的に治療
- 治療に伴うリスク
- 知覚過敏
セラミックのチップ
虫歯を治したい
- 担当医
- 治療で得られるメリット:審美的、治療回数が少ない、割れない、取れない
- 主訴
- 虫歯治療希望
- 期間
- 1回
- 費用
- 3万円〜/箇所
- 治療内容
- 今まで一度も治療の既往がない場合、治療方法の第一選択はダイレクトボンディングです。
型取りが必要ないので最低限の切削量で処置が可能です。
- 治療に伴うリスク
- セラミックに比べると劣化進度は早い
セラミックに比べると再度の虫歯に場合によってはかかりやすい
【30代女性】
虫歯の治療をしたい
- 担当医
- 荻原 太郎
- 主訴
- 虫歯の治療をしたい
- 期間
- 1回
- 費用
- 3万円〜/箇所
- 治療内容
- 虫歯の治療
- 治療に伴うリスク
- 準備中