【50代女性】
矯正治療によって生じた審美障害に対して
ラミネートベニヤを
用いて改善したケース
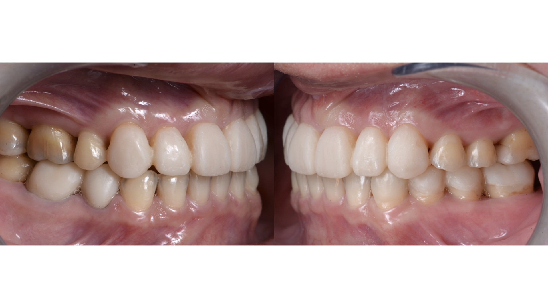
治療前
治療後
治療で得られるメリット:審美性、安定した噛み合わせ
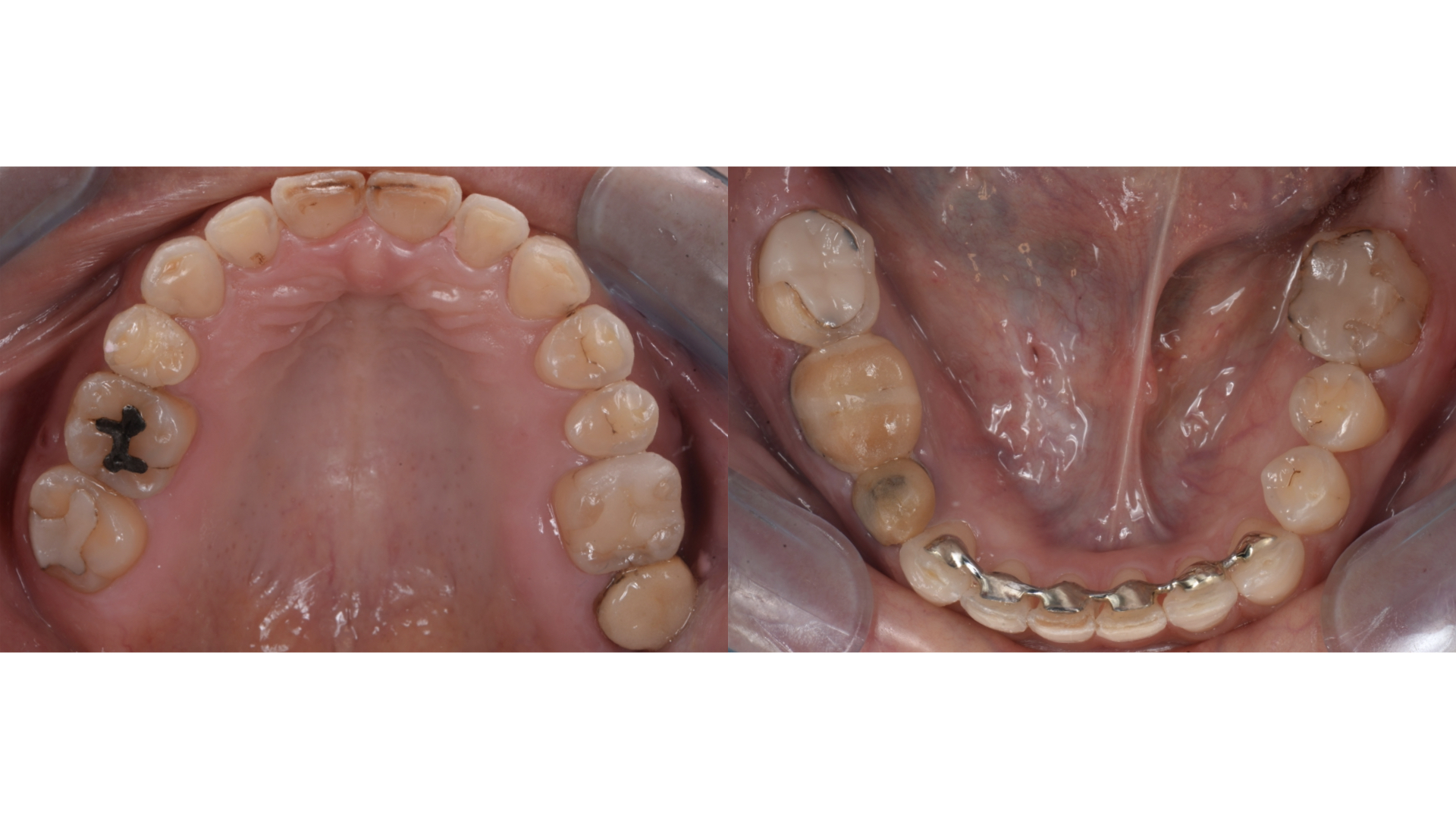
治療前
模型
模型上でwax upというモデルを専門の技工士が作成し
そのwax upの形態を口腔内に投影していきます。
この被せ物や修復物はプロビジョナルレストレーションという最終的な被せ物と同形態をした修復物です。
そのwax upの形態を口腔内に投影していきます。
この被せ物や修復物はプロビジョナルレストレーションという最終的な被せ物と同形態をした修復物です。
治療中
治療中
機能的な問題や審美的な不満がないことをここで確認して問題なければ最終的なセラミックに移行していきます。
ラバーダム
ラバーダム
治療前
治療後
今回のラミネートベニアはほとんど切削処置を伴わない方法(ノンプレップベニア)で行っております。
治療前
治療後
| 担当医 | 荻原 太郎 |
|---|---|
| 主訴 | 7年間続いた矯正治療の結果、スマイル時に前歯が見えなくなってしまいった 失ったスマイルを取り戻したい |
| 期間 | 6ヶ月 |
| 費用 | 約250万円 |
| 治療内容 | さまざまな分析をした結果、矯正治療により噛み合わせが低下、前歯が後ろに引っ込んでしまったということがわかりました。 したがいまして、元の状況に戻すべく噛み合わせを挙上し、前歯の長さを平均的な長さに改善する治療方針を立案しました。 一定のプロビジョナルレストレーション期間を経て、ファイナルレストレーション(前歯はポーセレンラミネートベニア、奥歯はクラウン、アンレー)へと移行しました。 |
| 治療に伴うリスク | 準備中 |




















