症例をご確認いただけます|池袋駅西口徒歩5分・豊島区池袋の歯科医院「グランドメゾンデンタルクリニック」
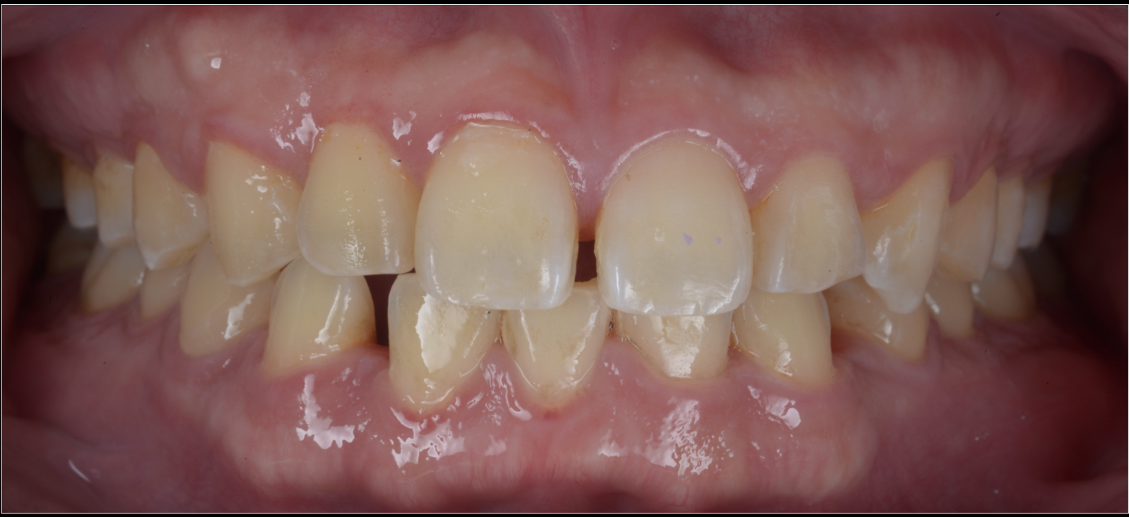
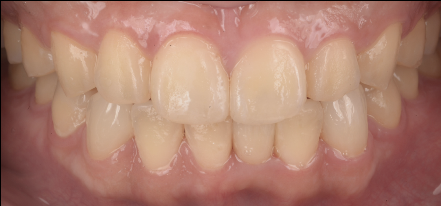
すきっ歯が気になる
空隙歯列・スリーインサイザルを咬合から整え、審美修復で改善した症例
- 担当医
- 生野誠
- 主訴
- 噛み合わせが安定しない
顎が痛い
- 期間
- 3年
- 費用
- 150万
- 治療内容
- 部分矯正
ダイレクトボンディング
ラミネートベニア
接着性ブリッジ
テーブルトップベニア
- 治療に伴うリスク
- 後戻り
セラミックの破折
池袋で前歯のすき間をダイレクトボンディングで改善した症例|正中離開を削らずに自然に修復
- 担当医
- 生野誠
- 主訴
- 前歯のすき間が気になる
見た目を自然に整えたい
- 期間
- 1回
※症例により回数は異なります
- 費用
- 11万
- 治療内容
- 前歯2本に対するダイレクトボンディング
- 治療に伴うリスク
・経年的な着色が起こることがあります
・強い衝撃や咬み合わせによって欠けることがあります
・すき間の大きさや咬み合わせによっては、矯正治療や他の補綴治療が適する場合があります
・定期的なメインテナンスが必要です
晩期残存した乳歯をブリッジにて治療した症例
- 担当医
- 生野誠
- 主訴
- 残っている乳歯が虫歯になった。
インプラントを考えているが他に治療法はあるか知りたい
- 期間
- 2ヶ月
- 費用
- 46万
- 治療内容
- ジルコニアブリッジ
- 治療に伴うリスク
- ブリッジの脱離
歯の失活
歯周病に“ペリオオルソ(歯周×矯正)”と歯周組織再生療法を組み合わせ、安定化を図った症例(池袋)
- 担当医
- 生野誠
- 主訴
- 後戻りが気になる
下の歯が心配
- 期間
- 2年
- 費用
- 180万
- 治療内容
- 矯正治療
歯周組織再生療法
セラミック修復
- 治療に伴うリスク
- • 再生療法・矯正には適応があり、すべての方に同じ結果を保証するものではありません。
• 治療後も定期的なメンテナンスが必要です。
【30代 女性】
歯の隙間と前歯を引っ込めたい
- 担当医
- 生野 誠
- 主訴
- 前歯の隙間と出ているのを治したい
- 期間
- 3年
- 費用
- 110万
- 治療内容
- 矯正治療
セラミックラミネートベニア
- 治療に伴うリスク
- 後戻り
歯根吸収
セラミックの脱離
【10代 女性】
歯の隙間を
埋めてほしい、
笑うと歯茎が気になる
- 担当医
- 生野 誠
- 主訴
- 歯の隙間を埋めてほしい
笑うと歯茎が出るのが気になる
- 期間
- 24ヶ月
- 費用
- 80万
- 治療内容
- ワイヤー矯正治療
クラウンレングスニング
- 治療に伴うリスク
- 後戻り、歯根吸収
【40代】
セラミック治療、
ダイレクト
ボンディング
- 担当医
- 荻原 太郎
- 主訴
- 前歯を綺麗にしたい
虫歯を治したい
- 期間
- 2ヶ月
- 費用
- ダイレクトボンディング
3.6〜5万円/箇所、
セラミック治療前歯
16〜21万円(一本)
- 治療内容
- ダイレクトボンディングとセラミック治療によりナチュラルな仕上がりとした
- 治療に伴うリスク
- 知覚過敏
セラミックのチップ
【20代 女性】
全体的にすきっ歯を
ダイレクト
ボンディングに
よって治したケース
- 担当医
- 荻原 太郎
- 主訴
- すきっ歯が気になる
- 期間
- 約2回
- 費用
- 5,5000円/箇所
- 治療内容
- ダイレクトボンディング
- 治療に伴うリスク
- 変色、破折
【50代 男性】
前歯部の審美障害を
ナチュラルに
治した症例
- 担当医
- 荻原 太郎
- 主訴
- 左上犬歯が元々骨の中に埋まっておりすきっ歯になっている
また銀盤も気になる
矯正は考えていない、現状の中で可能な限り綺麗にしたい
- 期間
- 2ヶ月
- 費用
- 13万円〜20万円/箇所(セラミック)
- 治療内容
- ラミネートベニヤにより最小限の切削量で審美的改善をはかった
結果、日本トップテクニシャンとのタイアップにより患者さんが望む結果を得ることがでいた
- 治療に伴うリスク
- セラミックのチップ、知覚過敏
【20代男性】
前歯のすきっ歯が
気になる
- 担当医
- 荻原 太郎
- 主訴
- 前歯のすきっ歯が気になる
綺麗にしたい
- 期間
- 5ヶ月
- 費用
- 約100万円
- 治療内容
- 過去に全顎的な歯科矯正を受けており、その後戻りが原因ですきっ歯になっていた。
また矯正装置であるブラケットを除去した際に歯の表面正常が失われていた。また犬歯が短い。ここはクラウンレングスニングによって歯肉を下げた。
そして歯を削る量を最小限にセラミックを装着した。
- 治療に伴うリスク
- セラミックのチップ